近日,通辽市医院胸痛中心传来了一个令人振奋的消息:一位心源性猝死患者,在面临生死存亡的危急时刻,得益于胸痛中心的高效运作和多学科协作,幸运地重获新生。

这位患者是一名52岁的男性,患有高血压和心脏病,多年来的烟瘾也加剧了他的病情,于11月2日突发疾病,17:25患者到达医院时,已经经历了2小时的阵发性胸痛,呼吸心跳停止,陷入抽搐,伴随着10分钟的意识不清。患者的病情危急,胸痛中心的医疗团队发挥平台的优势,联合多学科进行紧急合作。首诊医生乌兰图雅迅速组织抢救,急诊科医护人员立即进行了心肺复苏、呼吸支持以及抢救药物治疗。与此同时,胸痛中心的值班医生钍戈也立即赶到现场积极参与抢救。在极度危险的情况下,医护人员们紧密配合,进行了十次电除颤,终于将患者的心跳恢复。

然而,这只是抢救的开始,患者仍然处于昏迷状态,自主呼吸未恢复,心内三科郑凯和钍戈医生果断决定进行介入治疗,以解决急性心肌梗死的根本原因。

在患者家属的积极配合下,在患者心跳恢复后,立刻启动了导管室。在这关键时刻,导管室医护团队早已准备充分,18:47患者转运至导管室并已完成术前准备,郑凯和钍戈医生在全麻及呼吸机、临时起搏器保驾护航下,行急诊介入治疗,19:04造影结束,19:45手术结束,成功开通闭塞病变血管!
|
|
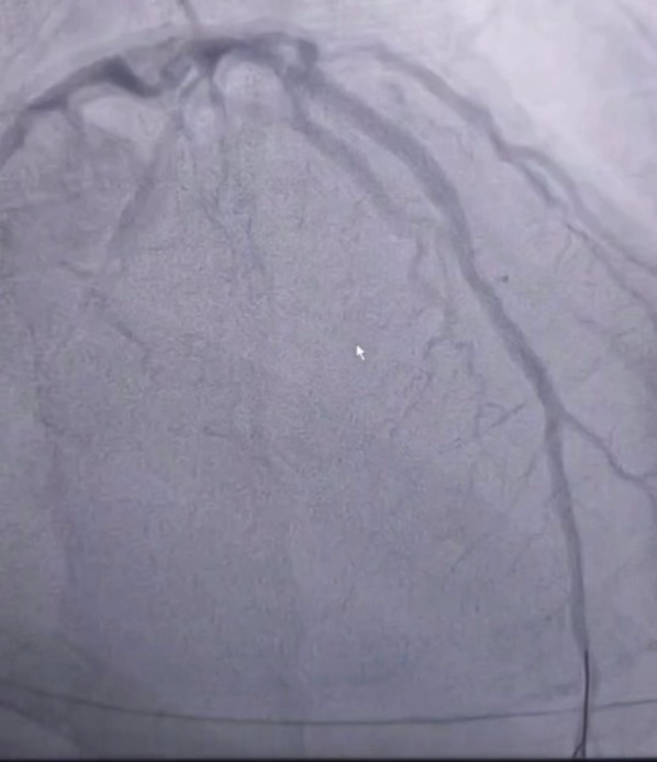
术前示前降支近段闭塞 | 开通前降支罪犯病变后 |
术后,在ICU全体医护人员的精心治疗及护理下,患者逐渐苏醒,自主呼吸逐渐恢复。目前意识清醒,于11月4日清晨顺利脱机拔管,状态良好,已转入心内三病房进行后续治疗。
这次抢救的成功,得益于多个科室(急诊科、麻醉科、心内三科、导管室、ICU、CCU)、多名医护人员的通力合作和高效配合,也得益于患者家属的信任与合作,最终将患者从“鬼门关”里拉了回来。这不仅仅是医学技术的胜利,更是团队协作和患者家属的信任共同创造的奇迹。我院将继续以实际行动推动学习贯彻习近平新时代中国特色社会主义思想主题教育往实里走、往心里走,竭尽全力捍卫百姓健康。
科普时间: 急性心肌梗死患者如能及时送医院救治,大多数患者的预后还是不错的。关键是患者从起病到救治的时间越短越好,治疗越早,效果越好!如能在急性心肌梗死发生120分钟内,尽早溶栓或介入(PCI)手术开通闭塞冠状动脉,就可以尽最大可能,减少心肌缺血坏死,拯救更多心肌,拯救生命,改善预后。因此,对急性心肌梗死患者而言,时间就是心肌,时间就是生命! 我们建议:牢记急救电话120,抓住黄金时间120分;尽快就医,听从医生建议。

当前位置:


