近日,我院心血管内三科成功完成一例高危卵圆孔未闭封堵手术,为一位42岁男性患者解除了心脑疾病的威胁。这一成功案例的背后,彰显了通辽市人民医院心内科医护团队在心脑血管疾病诊治方面的卓越能力与丰富经验。
该患者曾在8个月前因“言语不利、左侧肢体活动不灵”的急性脑梗死入院治疗,行脑血管造影未见狭窄病变。不久后,患者又于1月余前因急性心梗入院,行冠脉造影未见明显狭窄病变。病情复杂,一连串的心脑血管事件却找不到原因,令医护团队倍感压力和挑战。
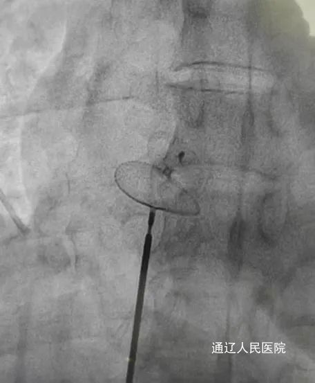
在心脑血管专家的会诊下,最终诊断为先天性心脏病-卵圆孔未闭。考虑该孔道是患者心梗、脑梗的罪魁祸首,在与患者及家属充分沟通后,决定于3月3日进行卵圆孔未闭封堵手术。手术过程顺利,仅用时20分钟便完成了手术,成功封堵了卵圆孔。在心内科医护团队的精心护理下,患者术后恢复良好,心脑疾病的威胁得到了有效控制。
这一成功案例不仅为患者带来了新生,也为通辽市心脑血管病诊治提供了宝贵经验。通辽市人民医院将继续秉承“以患者为中心,精诚团结,敬业奉献”的医院宗旨,不断提升医疗服务水平,为广大患者提供更加优质的医疗服务。 郑崔成,主任医师,现任通辽市人民医院心内三科负责人,胸痛中心行政总监。
担任国家级冠脉介入培训基地导师、国家胸痛中心总部飞检专家、国际血管联盟中国心血管分会委员、中国胸痛中心联盟千县工程胸痛中心工作委员会委员、中国胸痛中心联盟智慧胸痛中心信息化建设委员会委员、内蒙古医学会电生理与起搏学会委员会常务委员、内蒙古医学会心血管病分会常务委员,擅长冠心病、先天性心脏病、电生理及起搏器等介入治疗,对于心内科常见疾病高血压、冠心病、心力衰竭有一定的建树。 王磊,副主任医师,硕士研究生,毕业于内蒙古民族大学,曾于吉林一院心内科接受进修。 通辽市医学会心脏内科分会的委员,同时,在国家级和省级期刊杂志上发表了多篇论文。凭借丰富的经验和专业知识,为心脏疾病患者提供了卓越的医疗服务,在心内科领域尤其擅长高血压、冠心病、心衰、心梗以及心内科常见病和多发病的诊治。 王慧 副主任医师 毕业于内蒙古科技大学包头医学院临床医学专业 ,曾于北京安贞医院进修起搏器植入。 通辽医学会心血管病专科分会第三、四届委员会委员,通辽医学会心电生理和起搏专科会委员 擅长冠心病急诊介入治疗及心脏起搏器植入,先心病介入及射频消融术的治疗。