
日前,我院关节外科运用3D打印技术成功为一位“左髋关节置换术后巨大骨缺损”患者完成翻修手术。这是我院首次应用新技术治疗髋关节置换术后骨溶解和假体松动,此项技术填补了我市髋关节置换术后巨大骨缺损翻修手术的空白。患者,女,65岁,左髋关节置换术后十余年,近两年因左髋关节疼痛伴活动受限,慕名来我院关节外科就诊。徐宏顺副主任医师详询病史及查体后以“左髋关节置换术后骨缺损”收入院。入院后,胡中申主任医护团队对该病例进行详细讨论,结合患者病情,经家属知情同意后,联合徐宏顺、文振东副主任医护团队为患者行“3D打印辅助下髋关节置换翻修术”。术后第二天患者便可拄拐站立,第三天可尝试行走,一周后基本恢复髋关节置换术后步态。现髋关节稳定性佳,患者与家属表示满意。

手术历经4个小时顺利完成

术中取出的松动假体 可见仅有少量骨长入

长期松动可见大量电解产物

术中手术切口内情况

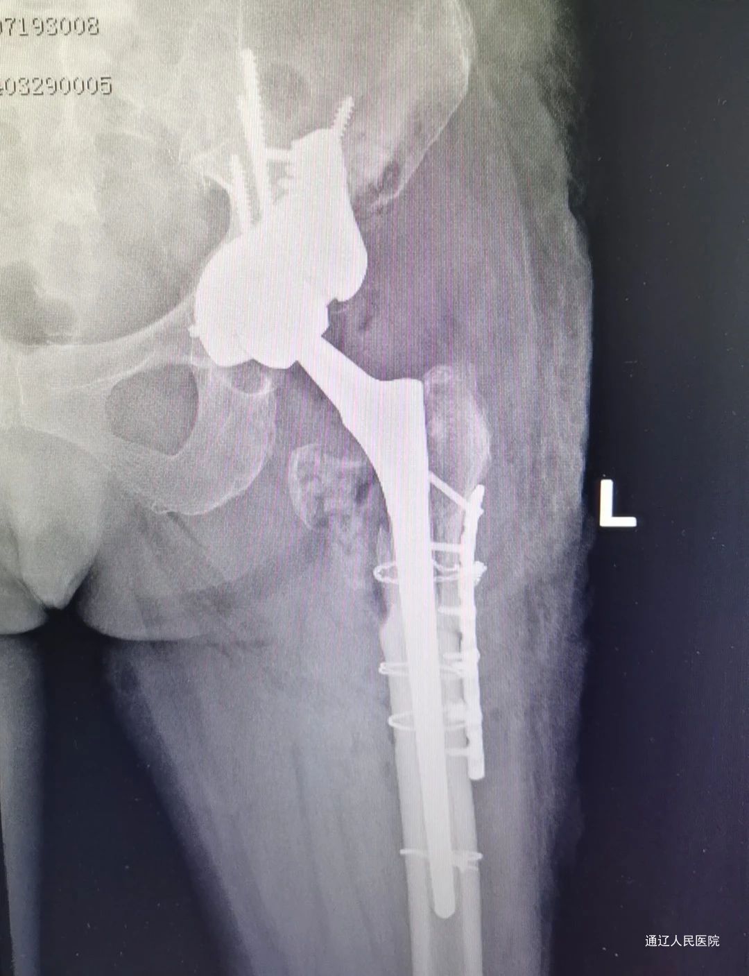
术后X线检查
医疗领域是应用3D打印技术较为深入的行业,骨科尤其如此。3D打印技术可以复制出患病关节的实物模型,特别对于关节翻修手术,可以确切评估骨缺损的程度,同时计算术中需要具体加强的结构,让术者可以提前模拟手术,精细化手术操作,大大缩短手术时间,减少手术并发症。我院骨科亚专科成立以来,骨科团队本着以人为本,患者至上的原则,利用先进技术为通辽地区骨病患者提供着优质的医疗服务。日后,我院将继续引领本地区关节外科治疗技术,不断缩小与国内知名医院技术差距,让我市骨病患者在家门口就可以享受到高精尖诊疗服务,全力为我市百姓健康保驾护航。

胡中申
关节外科主任,主任医师、硕士研究生、中国中医药大学肩肘关节培训基地主任委员、内蒙古自治区关节医师协会青年委员会副主任委员、内蒙古自治区医学会运动医学分会常委、通辽市医学会副主任委员、通辽市医师协会运动医学分会主任委员。曾在北医三院运动医学科学习,北京积水潭医院关节外科学习,301医院309医院关节运动医学进修学习,上海长征医院关节外科学习,天津骨科医院进修学习。擅长关节疾病诊断与治疗,髋关节置换3000余例,开展髋关节DAA入路开展髋关节Super_PATH入路等微创关节置换。复杂髋关节翻修,先髋关节置换,强直性脊柱炎引起股骨头坏死置换,风湿系统红斑狼疮引起股骨头坏死等关节置换。膝关节置换1000余例,膝关节内外翻截骨矫形手术。踇外翻截骨矫形术,肘关节内外翻截骨矫形术。肩关节置换肘关节置换及踝关节置换等手术。率先开展膝关节骨性关节炎单间室置换,通辽市率先开展关节镜下前后交叉韧带重建,半月板缝合,肩关节镜首例肩袖缝合,肩关节不稳治疗,踝关节镜下踝关节骨性关节炎治疗,肘关节骨性关节炎,关节镜下治疗跟骨骨刺肱骨外侧髁炎等治疗。

徐宏顺
关节外科副主任医师,中国医药教育协会肩肘运动医学规范化诊疗培训基地委员、吉林省数字医学会创伤骨科专业委员会委员、通辽市医学会骨科分会第二届委员、通辽市医学会全科医疗专科分会第一届委员。熟练掌握髋、膝、踝及肘关节骨关节炎等关节疾病的阶梯诊治,利用关节镜微创技术对老年性膝关节炎进行微创手术治疗,能够熟练膝关节炎截骨矫形术,人工髋、膝关节置换技术;熟练应用关节镜等微创技术进行运动医学损伤的诊治,熟练掌握膝关节韧带断裂、半月板损伤、踝关节韧带损伤及肩袖损伤等运动医学方面常见及疑难疾病诊治和进行关节镜辅助下的微创手术治疗。