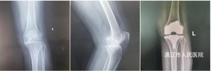
近日,我院关节外科胡中申主任医师团队成功完成蒙东地区首例机器人辅助下关节置换术。这是我院乃至蒙东地区首例应用机器人辅助治疗骨关节疾病,填补了地区关节置换技术的空白,标志着我院骨关节置换技术跨入了关节“智”换的新时代。病例1:患者姜某,女性,62岁,4年前开始出现左侧膝关节肿痛伴活动受限,严重影响日常生活。门诊查体及膝关节X线诊断为:左膝关节骨性关节病。由于患者长年饱受膝关节疼痛折磨,膝关节已明显屈曲伸直障碍,关节间隙消失。胡中申主任医师带领其关节外科团队对该病例进行详细周全地讨论,综合评估患者病情建议实施机器人辅助下左侧全膝关节置换术。得到家属同意后,针对该患者情况,胡中申主任医师团队在文振东主任医师、徐宏顺副主任医师、陈哲主治医师的通力配合下,为其行“机器人辅助下左侧全膝关节置换术”,术中在机器人辅助下实现了亚毫米精确截骨,实时模拟动态监测膝关节伸直屈曲间隙变化,手术全程高效流畅。通过术后测量显示,实际截骨量、植入角度与术前模拟高度一致,真正实现速度与精度的完美结合,大大满足了患者对“个性化”关节置换的需求。术后患者左侧膝关节疼痛明显缓解,功能恢复良好,顺利出院。


病例2:患者吴某,男性,70岁,1年前开始出现左髋关节疼痛伴活动受限,门诊查体及骨盆X线诊断为:左侧股骨头坏死。胡中申主任医师带领其关节外科团队对该病例进行讨论,针对该患者情况,胡中申主任医师团队在敖日格勒主任医师、文振东主任医师、陈哲主治医师的配合下,为其行“机器人辅助下左侧全髋关节置换术”,不仅实现亚毫米级手术精度,减少了手术创伤,也大大促进了患者的康复进程。术后患者左侧髋关节疼痛明显缓解,功能恢复良好,顺利出院。


此次手术的成功完成,不仅是我院在数字化医疗领域的一次突破,更是全市骨科医疗事业发展的里程碑。我院骨科关节外科专科开设以来,目前已独立开展各种髋、膝关节初始置换,髋、膝关节翻修手术,肩关节、肘关节、踝关节置换手术,保膝、保髋手术,肩、肘、髋、膝、踝关节镜手术。未来,我院将继续引领本地区关节外科治疗技术,不断缩小与国内知名医院技术差距,让我市骨病患者在家门口就可以享受到高精尖诊疗服务,全力为我市百姓健康保驾护航。关节外科主任,主任医师、硕士研究生、中国中医药大学肩肘关节培训基地主任委员、内蒙古自治区关节医师协会青年委员会副主任委员、内蒙古自治区医学会运动医学分会常委、通辽市医学会副主任委员、通辽市医师协会运动医学分会主任委员。曾在北医三院运动医学科学习,北京积水潭医院关节外科学习,301医院、309医院关节运动医学进修学习,上海长征医院关节外科学习,天津骨科医院进修学习。擅长关节疾病诊断与治疗,髋关节置换3000余例,开展髋关节DAA入路开展髋关节Super-PATH入路等微创关节置换。复杂髋关节翻修,先髋关节置换,强直性脊柱炎引起股骨头坏死置换,风湿系统红斑狼疮引起股骨头坏死等关节置换。膝关节置换1000余例,膝关节内外翻截骨矫形手术。踇外翻截骨矫形术,肘关节内外翻截骨矫形术。肩关节置换肘关节置换及踝关节置换等手术。率先开展膝关节骨性关节炎单间室置换,通辽市率先开展关节镜下前后交叉韧带重建,半月板缝合,肩关节镜首例肩袖缝合,肩关节不稳治疗,踝关节镜下踝关节骨性关节炎治疗,肘关节骨性关节炎,关节镜下治疗跟骨骨刺肱骨外侧髁炎等治疗。

关节外科主任医师,1996年毕业于内蒙古民族大学,2007—2008在吉林大学中日联谊医院进修学习骨科,2017年在中国医科大学盛京医院进修学习小儿骨科,专业特长:有丰富的骨科临床经验,运动医学,小儿骨科,四肢创伤,各种骨科复杂疑难病诊断及治疗。参与“现代骨科诊疗学”编辑,发表数篇文章。成功完成小儿髁上骨折闭合复位克氏针固定术60例。关节外科主任医师,硕士研究生。毕业于中国医科大学。中国医药教育协会肩肘运动医学规范化培训通辽基地秘书长、通辽市医师协会运动医学分会秘书长、通辽市医师学会骨科分会常务委员。曾先后于北医三院、北京积水潭医院、中国医科大学附属医院等进修学习。擅长关节疾病的治疗、颈肩腰腿疼痛的治疗,开展关节镜下前后交叉韧带重建,半月板缝合,肩关节镜下肩袖修复,肩峰成形,踝关节镜下治疗前踝撞击、踝关节骨关节炎,开展髋膝关节置换手术,股骨头坏死微创手术,髋膝关节置换术后假体翻修术,保髋保膝手术。关节外科副主任医师,中国医药教育协会肩肘运动医学规范化诊疗培训基地常务委员、吉林省数字医学会创伤骨科专业委员会委员、通辽市医学会骨科分会第二届委员、通辽市医学会全科医疗专科分会第一届委员。熟练掌握髋、膝、踝、肩、肘关节骨关节炎等关节疾病的阶梯诊治,曾进修于北京301医院运动医学科,能够熟练掌握人工髋、膝关节置换技术;应用关节镜等微创技术进行关节、运动医学损伤的诊治,熟练掌握髋关节撞击综合征,膝关节韧带断裂、半月板损伤、踝关节韧带损伤及肩袖损伤等运动医学方面常见及疑难疾病诊治和进行关节镜辅助下的微创手术治疗。