一尺讲台,一生责任。“我不能做手术,我还得站讲台给学生们讲课,麻烦你们帮我想想办法吧…” 近日,我院阚庆玲主任医师团队成功为一名特殊身份(人民教师)患者实施了CT引导下经皮肺结节微波消融治疗,最大程度减少了这位教师的肺部损伤,保留其肺部功能并达到了根治效果。
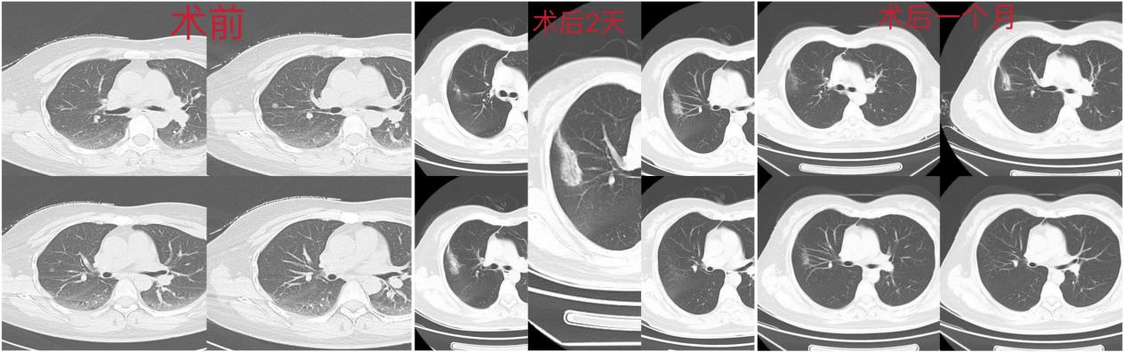
患者巍某,40岁,3年前体检胸部CT提示右肺下叶磨玻璃结节,大小约8X7mm,期间一直服用中药。今年6月复查,发现磨玻璃结节实性成分增加,影像提示高危结节。由于热爱自己的职业,拒绝手术治疗,思虑忧重,万全考虑之下科室决定为其行肺部结节微波消融微创术。该技术创伤小、精准适形、疗效明确、操作相对简单、安全性高、恢复迅速,对无法肺部手术的巍某带来新的希望。手术在北京大学肿瘤医院介入科柳晨教授、我院CT科阚庆玲主任的指导下,由主治医师闫强消融团队为巍某实施肺结节微波消融术超微创精准治疗。

为让患者尽快康复,呼吸与危重症医学科何佳木、赵翠翠医护团队单独为患者划分了病区。经数日精心护理下,患者恢复良好,现已顺利出院。术后1月患者复查CT,消融范围覆盖原结节,原结节未显示,消融范围良好,病灶凝固坏死良好,无远期并发症。患者工作、生活如常。
肺肿瘤/结节肺肿瘤/结节微波消融有哪些适应症?
1.周围型肺癌:①因心肺功能差或高龄不能耐受手术切除的患者;②拒绝行手术切除的患者;③其他局部治疗复发后单发病灶的患者;④原发性肺癌术后或放疗后肺内孤转移患者;⑤多发肺癌患者。
2.肺部转移瘤:某些生物学特征显示预后较好的肺内转移瘤(如肉瘤、肾癌、结直肠癌、乳腺癌、黑色素瘤和肝细胞癌)。
3.周围型肺结节:①因心肺功能差或高龄不能耐受手术切除的患者;②拒绝行手术切除的患者;③多发肺结节患者;④重度焦虑,经心理或药物治疗无法缓解的患者。
肺肿瘤/结节微波消融有哪些优点?
1.可“烧死”肿瘤细胞,使肿瘤变性毁损,肿瘤组织坏死,不易复发。
2.微创无需开刀,创伤小、恢复快、副反应轻、住院时间短、经皮穿刺局部无需缝合,被称为“杀癌不见血”和“针孔手术”。
3.在CT引导下穿刺及治疗精准。
就诊、咨询电话:阚庆玲15848576688
闫 强15847503064
消融手术专家介绍

柳晨副主任医师
北京大学肿瘤医院介入治疗科
专业特长:擅长肿瘤的微创介入治疗,尤其
在肺结节及肺癌的诊断和治疗方面经验丰富
累计完成活检、消融、粒子植入等各类介入
手术20000余例。
世界华人肿瘤医师协会肿瘤微创介入专委会
青委副主任委员
国家卫生健康委县域微创介入项目肺癌
专委会秘书长
国家卫生健康委介入医学专家委员会
呼吸疾病专家组秘书
中国抗癌协会肿瘤微创治疗专委会
青委副主任委员
第六届“白求恩式好医生”

阚庆玲 主任医师
通辽市人民医院CT科 科主任
专业特长:从事放射诊断、教学工作三十余年,擅长胸部、腹部的CT影像诊断。主要研究方向为肺结节、早期肝癌、肾癌精准诊疗。
内蒙古自治区医学会放射学分会 常务委员
内蒙古自治区医师协会放射医师协会第一届委员 副会长
内蒙古自治区医学会影像技术学分会 委员
中国医药教育协会肩肘运动医学规范化诊疗培训基地 常务委员
通辽市医师协会影像分会 主任委员
通辽市医学会影像分会 副主任委员

刘石磊 主任医师
通辽市人民医院麻醉科副主任
麻醉医学硕士
专业特长:熟练掌握全身麻醉、各种
神经阻滞及困难气道的处理。在创伤
麻醉、胸科、产科、小儿及老龄等专
科麻醉以及冠心病、高血压、糖尿病
等特殊病人的手术麻醉方面积累丰富
的经验。
内蒙古自治区医学会麻醉学分会
第十届委员会委员
内蒙古自治区医师协会麻醉学医师分会
第三届委员会委员
通辽市医师协会麻醉专科分会副主任委员
通辽市医学会麻醉学分会副主任委员
曾进修于北大医院麻醉科、上海交通大学
附属瑞金医院

张艳艳 主任医师
影像医学与核医学硕士,核医学科负责人。
毕业于中国医科大学影像医学与核医学专业。
专业特长:2009年至今在通辽市人民医院CT科工作。精通各系统血管成像技术及诊断,擅长胸部、腹部常见病及疑难病的CT诊断。
内蒙古医科大学通辽临床医学院医学影像学教研室主任
内蒙古医学会放射学分会第八届青年委员
内蒙古医师协会核医学分会常委
中国医药教育协会肩周运动医学规范化诊疗培训基地委员
通辽医师协会影像学分会常委
通辽医师协会影像技术专科分会常委
通辽医学会医学影像专科分会常委
通辽医师协会磁共振分会常委

闫强 主治医师
专业特长:2011年至今在通辽市人民
医院工作。2023年进修于北京大学肿
瘤医院,专修肺结节穿刺及微波消融方
向。擅长全身肿瘤的精准定位、定量诊
断和良恶性鉴别诊断;常见恶性肿瘤分
期、疗效评估,尤其擅长肺结节、肺癌
诊断与鉴别诊断。
通辽医师协会影像学分会秘书长
通辽医师协会影像技术专科分会委员
通辽医师协会磁共振分会委员
通辽医师协会卒中分会委员

孙雨 主治医师
毕业于内蒙古医科大学
专业特长:北京大学肿瘤医院43期穿刺培训班学习,擅长CT诊断以及CT A后处理及诊断,尤其擅长肺结节、肺癌诊断与鉴别诊断。
通辽医师协会影像学分会委员
通辽医师协会影像技术专科分会委员
通辽医师协会磁共振分会委员

王芳科 主管技师
专业特长:从事CT技术专业十余年,对
CT检查常见、复杂危重病例的检查方法
有较丰富的临床经验。擅长冠状动脉CTA
检查、胸痛三联扫描、肺动脉检查、门静
脉检查、头颈CTA检查、下肢动脉CTA检
查及后处理技术等,能够熟练掌握CT下引
导穿刺活检定位、治疗等CT技术操作。
通辽医师协会影像学分会委员
通辽医师协会影像技术专科分会委员
通辽医师协会磁共振分会委员

护理团队:阚冰冰、杨巍、吴春颖,主管护师
专业特长:从事护理工作10余年,擅长CT血管成像及各种部位增强扫描的护理配合。尤其擅长,肺部结节穿刺及消融手术的搭台及护理工作。
有较丰富的临床经验。擅长冠状动脉CTA
检查、胸痛三联扫描、肺动脉检查、门静
脉检查、头颈CTA检查、下肢动脉CTA检
查及后处理技术等,能够熟练掌握CT下引
导穿刺活检定位、治疗等CT技术操作。
通辽医师协会影像学分会委员
通辽医师协会影像技术专科分会委员
通辽医师协会磁共振分会委员
术后并发症治疗及护理专家介绍

何佳木 主任医师 硕士研究生
通辽市人民医院呼吸与危重症医学科科主任
专业特长:从事呼吸与危重症医学工作十余年,
曾在北京朝阳医院进修一年,擅长呼吸危重症、
感染性疾病、支气管镜诊断性检查及治疗,
对慢性气道疾病及肺部肿瘤等均有丰富治疗经验。
内蒙古医学会呼吸分会常务委员
内蒙古医师协会呼吸分会常务委员
通辽市医师协会会长

马卓 副主任医师
毕业于内蒙古科技大学包头医学院。于北京中日友好医院进修学习。
专业特长:从事呼吸及危重症医学数十年,擅长呼吸道感染性疾病及呼吸危重症、气道疾病,肺部肿瘤诊断及治疗,熟练掌握有创机械通气技术、气管镜下检查及治疗。尤其擅长:呼吸系统常见病、多发病的诊断及治疗,熟练掌握有创机械通气技术、气管镜下检查及治疗。

赵翠翠 副主任护师
呼吸与危重症医学科病房护士长
2003年12月至今 通辽市医院 临床护理及护理管理
2022年10月07日,作为通辽市卫生健康系统公共卫生领域支援呼和浩特医疗队的护理负责人,驰援呼和浩特市第一医院及革命历史博物馆方舱医院。2022年12月2日返回(历时57天)。
个人荣誉奖励:
2022年11月受到呼和浩特市人民政府及革命历史博物馆方舱医院的表扬
2022年10月29日收到革命历史博物馆方舱医院的表扬令
2023年5月中共通辽市医院委员会 “最美逆行护士”

贡颖丽 主治医师
毕业于内蒙古医科大学 硕士研究生
通辽市人民医院呼吸与危重症医学科
专业特长:擅长呼吸道感染性疾病及呼吸危重
症、气道疾病,肺部肿瘤诊断及治疗。

李婧娥 住院医师
毕业于包头医学院 硕士研究生
通辽市人民医院呼吸与危重症医学科
专业特长:擅长慢性气道疾病及肺部肿瘤诊断及治疗。

当前位置:
