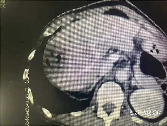
近日,我院肝胆胰外科成功实施了全市首例CT引导下肝肿瘤纳米刀消融术,标志着我院肝胆胰外科在肿瘤微创消融领域迈上新台阶,填补了本地区医疗技术空白。该患者男性,因腹胀于我院就诊,完善相关检查诊断结肠癌伴肠梗阻,肝占位性病变考虑转移瘤,讨论病情后决定一期行腹腔镜下根治性右半结肠切除术,术后复查腹部增强CT、增强肝脏MRI提示肝脏转移瘤有进展趋势,遂行CT引导下肝肿瘤纳米刀消融术。









手术过程中,患者行全身麻醉,在解放军总医院肖越勇教授指导下,我院肝胆胰外科主任医师郭雅明、手术麻醉科副主任医师高飞、CT室医护团队在CT引导下确认病灶位置并进针,确保电极区域完全包裹肿瘤后开始消融。消融过程中电流上升反馈良好,术后即刻增强CT显示消融范围覆盖病灶,周围血管、胆道结构完好无损伤,出现明显气体影,消融效果良好。消融完成后,退出穿刺针,手术顺利结束,术中麻醉效果满意,生命体征平稳,麻醉恢复后无腹痛腹胀,恶心呕吐等不适。术后给予对症支持治疗,患者恢复良好。和传统的消融治疗方式不同,纳米刀消融技术是通过脉冲电场导致细胞不可逆电穿孔,从而实现肿瘤组织杀伤,是一种非热选择性物理消融技术,可在实现消融肿瘤的同时,保留肿瘤周围的重要管道结构(血管、胆管和神经)完整性,并且无热沉效应,消融肿瘤细胞,适用于消融治疗靠近肝门、胆囊、膈肌和结肠等肝脏特殊部位的肿瘤有着独特的优势。纳米刀消融手术为现阶段先进、安全的肿瘤消融技术,它为无法使用传统手术方式的特殊部位癌症患者提供了新的治疗方式,还具有能够选择性消融,时间短、创口小等优点,一定程度上能够改善生活质量,延长生存时间,纳米刀消融对不能手术的肝癌、肺癌特别是胰腺癌具备较大的技术优势。此次全市首例纳米刀消融术的开展,标志我院微创介入技术取得重大突破,也为疑难肿瘤患者提供了更为先进技术的诊疗手段。
专家简介

肖越勇
解放军总医院第一医学中心放射科主任医师 医学博士 教授、博士研究生导师
从事介入治疗一线工作40余年,获得第四届“国之名医-卓越贡献”称号,担任第21届国际冷冻治疗协会主席、亚洲冷冻治疗学会名誉主席、中国医药教育协会常务理事、介入微创治疗专委会主任委员及纳米刀消融分会主任委员、中国抗癌协会肿瘤微创治疗专委会主任委员、国家肿瘤微创治疗产业技术创新战略联盟副理事长及磁共振介入专委会副主任委员、中国医师协会介入医师分会常务委员、国家卫健委制订《肿瘤消融治疗技术管理规范》专家组副组长、北京医师协会介入放射学专业医师分会副会长等职。

祁向军
通辽市人民医院外科院长助理 大外科主任 主任医师
擅长肝胆胰脾良恶性疾病的诊治,如:胆囊结石、胆总管结石、肝癌、胆道肿瘤、腺肿瘤及胰腺神经内分泌肿瘤等,熟练开展腹腔镜微创手术,如腹腔镜下疝修补术,腹腔镜下胃癌根治术、结、直肠癌根治术、腹膜后肿瘤手术、腹腔镜下胆囊切除及保胆取石术、胆总管探查、腹镜下解剖性肝切除术、腹腔镜下胰十二指肠切除术(LPD)、腹腔镜下胆囊癌根治、胆管癌切除,腹腔镜下保脾胰体尾切除及脾切除术等。

郭雅明
肝胆胰外科负责人 主任医师 硕士研究生
擅长于肝胆胰脾疾病的诊治,熟练开展腹腔镜肝脏、胆道、胰腺疾病微创手术。发表专业论文10余篇。其中SCI收录1篇。自治区卫健委科研课题1项。通辽医学会肝胆胰外科专科分会副主任委员;通辽医学会普外科专科分会第二届委员会秘书长;内蒙古自治区医师协会肝胆胰脾外科分会青年委员;内蒙古自治区医学会外科学分会第一届肝胆学组委员会组员;内蒙古抗癌协会肝胆胰肿瘤专业委员会第一届委员会青年委员会常务委员。

赵伟天
硕士研究生 住院医师
擅长肝胆胰外科常见疾病的诊治,如:胆石症、急性胰腺炎、肝脓肿、肝胆胰系统的良恶性肿瘤等。通辽市人民医院肝胆胰外科郭雅明团队常规开展腹腔镜下胰十二指肠切除术、腹腔镜下胰体尾切除术、腹腔镜下解剖性肝切除术、腹腔镜下肝门胆管癌切除术等其他肝胆胰脾外科专业微创手术,并能完成复杂肿瘤及血管重建手术。