近日,我院脊柱外科团队成功完成一例极具挑战性的胸椎椎板减压及腰1椎体切除人工椎体植入手术,为一位饱受病痛折磨长达20年的患者重新恢复了健康。该术式填补了我市脊柱外科手术的空白。

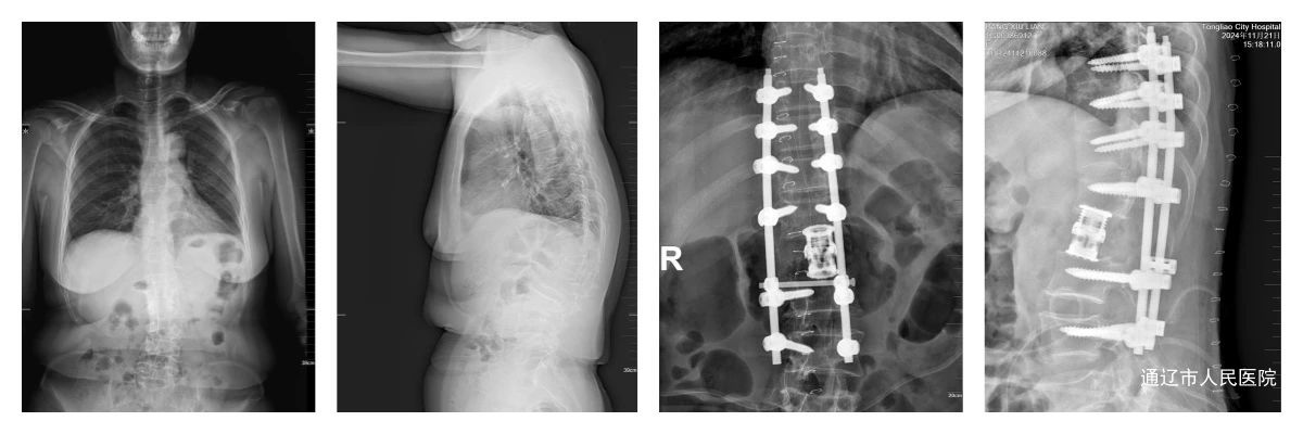
患者庞某,女,60岁,腰1椎体压缩性骨折病史。多年病症引发胸椎黄韧带钙化等系列并发症,导致右下肢肌力严重受损,仅为1级。日常行走困难,生活无法自理,身心承受巨大痛苦。
面对如此复杂病情,我院脊柱外科房芳主任团队对该病例进行综合研判,评估手术保护脊髓完整性的同时,既要解决胸椎黄韧带钙化对脊髓造成的压迫问题,又要对陈旧性的腰 1 椎体骨折进行妥善处理,就犹如在给生鸡蛋剥壳一样,手术难度和风险极高。与患者及家属商讨后,为其制定了胸椎椎板减压及腰1椎体切除人工椎体植入术的手术方案。

手术在麻醉科等多学科的配合下,由脊柱外科手术团队精准实施。术中,进行胸椎椎板减压,仔细去除钙化的黄韧带,逐步解除脊髓所受的压迫。随后,实施腰1椎体5级截骨,并将人工椎体完美植入,重建脊柱稳定性,手术历时6小时顺利完成。术后患者右下肢肌力逐渐恢复,已提升至2 级,患者极为满意。

当前位置:
