在精准医疗时代浪潮中,通辽市人民医院口腔颌面外科团队再攀技术高峰。近日,在口腔科科主任靳勇的带领下,团队成功完成区内首例数字化引导下应用可吸收内固定系统行“髁突骨折—颞下颌关节盘复位锚固术”,填补了自治区内颞下颌关节复杂创伤与功能障碍治疗的技术空白,标志着我院在该领域跻身区内领先水平,彰显口腔颌面外科创新实力。
67岁女患者包某某因车祸致下颌骨及右侧髁突骨折,患者为无牙颌患者,复位难度较大,术前靳勇主任团队结合CT影像,利用数字化技术设计手术导板、重建骨折模型,精准规划手术路径。术中通过耳前隐蔽切口,将前移的关节盘牵拉复位至解剖位,植入可吸收螺钉配合“扣袢型”关节锚固线并缝合固定,目前患者已顺利转入康复治疗阶段。
颞下颌关节是人体最复杂的关节之一,髁突骨折常因外伤导致,超60%会合并关节盘损伤,若处理不当可能引发长期张口受限、关节弹响疼痛、面部不对称、远期关节退行性变等问题。传统治疗方式如保守复位或开放手术存在创伤大、功能恢复不理想、远期并发症风险较高等局限。此次实施的颞下颌关节盘复位锚固术需通过可吸收螺钉与“扣袢型”关节锚固线精准复位并固定移位关节盘,重建关节解剖结构与生物力学稳定性,手术涉及颞下颌关节区密集神经血管网,操作精度要求极高,对团队技术、设备及多学科协作能力考验严峻。
靳勇提醒,颌面部外伤后若出现张口困难、双侧面部不对称、关节区肿胀压痛或牙齿咬合错乱等情况,需及时就诊。早期准确诊断与处理是避免关节功能丧失的关键,治疗涉及关节的骨折时,需同时评估关节盘、关节囊等软组织结构,避免“只治骨头不治关节”的误区。
我院将以此次手术为起点,以患者需求为导向、技术创新为引擎,为更多复杂颌面骨折患者提供精准高效的医疗服务。

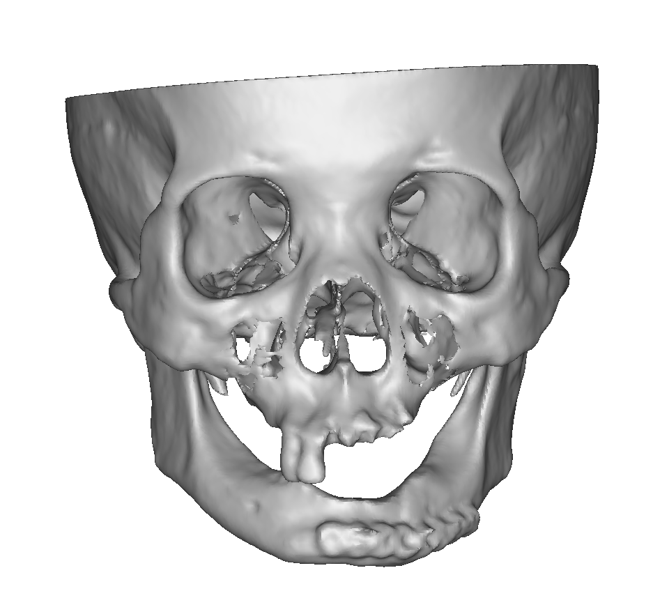
术前数字化建模

术后数字化建模

术前数字化设计

骨折复位前3D模型

骨折复位后3D模型

数字化导板术前应用
【专家简介】

靳 勇
口腔科主任,副主任医师,硕士研究生,博士研究生在读,硕士生导师。多次于中国医科大学附属口腔口腔颌面外科及种植科进修学习,中华口腔医学会创伤及正颌专业委员会委员,内蒙古口腔医学会理事,内蒙古医院协会口腔管理专业委员会副主任委员,通辽市口腔医学会副主任委员,通辽市医师协会口腔分会主任委员,通辽市医疗保险支付方式改革专家库成员。发表SCI论文一篇,国家级论文多篇、主编著作两部,高校教科书一部,申请专利两项。。工作以来长期负责临床及教学工作。2017年、2018及2021年获得院级新技术新项目三等奖,2020年、2022年及2023年获得院级新技术新项目二等奖。2019及2020年获得通辽市医院优秀专业基地主任,2022年获得自治区优秀专业基地主任。长期从事口腔颌面良恶性肿物的诊断及治疗、颌面部创伤骨折及髁突骨折的诊疗、颞下颌关节疾病的诊疗、复杂阻生牙及埋伏牙等牙槽外科诊疗、常规及复杂种植牙诊疗、无牙颌种植等口腔科常见疾病的诊疗。

当前位置:
