近日,我院多学科团队通力协作,凭借精湛医疗技术与高效应急能力,成功救治一名命悬一线的严重挤压伤患者,彰显我院急危重症救治实力。
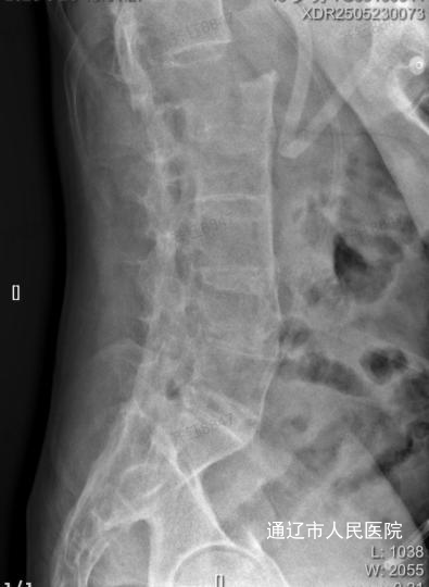
5月11日,43岁的患者包某某因强直性脊柱炎病史6年,身体状况不佳,又意外遭遇草料搅拌机绞伤胸腹部。伤后,患者随即出现腹痛、腰痛、呼吸困难等多种症状。紧急送医后,经检查确诊为左侧大量胸腔积液、少量腹腔积液、第1腰椎骨折伴滑脱,同时血压、血氧持续下降,病情极其危重,迅速被收入我院西院区急诊重症医学科(ICU)。


患者入院时心率慢、呼吸微弱,血压低至54/15mmHg。主治医师齐钰立即启动急救程序,开展抢救并组织多学科会诊。综合外科主任医师赵建明、胃肠外科主任医师郭云峰、肝胆胰外科主任医师郭雅明、脊柱外科主治医师胡宝阳、胸外科主任医师杨景春、手足踝外科副主任医师苗普达共同商讨治疗方案。胸外科医师鲁天宇率先实施左侧胸腔闭式引流术,引流出1400ml血性液体;随后,综合外科主任医师刘德智和赵建明、肝胆胰外科主任医师祁向军以及郭云峰共同实施开腹探查术、胰腺修补术、门静脉修补术、全脾切除术等高难度手术,尽管术中失血高达8000ml,但在医护团队的全力抢救下,成功稳住患者生命体征。
术后,患者病情复杂,出现贫血、凝血功能异常、重症感染、多脏器功能不全等严重并发症,还出出现急性肾功能损伤及严重代谢性酸中毒伴周身水肿等症状,主任医师徐光启启动床旁CRRT治疗,有效保护肾脏功能、清除多余的水分和溶质。17日,患者血红蛋白骤降,多学科专家再次会诊制定方案,祁向军、胃肠外科副主任医师马涛、综合外科主治医师包巴特尔、脊柱外科主任医师房芳、胸外科副主任医师张哲遥、血透室主任医师白刃共同商议治疗方案。经治疗,患者内环境趋于平稳,生命体征稳定。
5月22日,患者顺利拔管,生命体征平稳、意识清晰,部分肢体功能保留。后续我院计划开展脊柱相关手术助其康复。此次救治是我院多学科协作(MDT)在急危重症救治领域的典型案例。未来,我院将持续优化多学科协作机制,提升救治水平,守护群众生命健康。

当前位置:
