近日,我院口腔科主任靳勇团队成功自主完成首例髁突骨折精准复位手术,为一名因车祸导致下颌骨髁突骨折的24岁患者解除病痛。此次手术的成功实施,标志着我院在颌面创伤修复领域取得重大突破,为区域内类似病例提供了新的治疗选择。
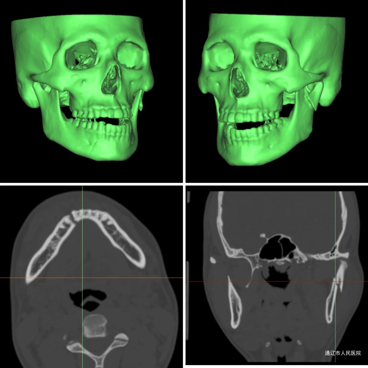
患者孙先生(化名)因车祸致下颌严重受伤,三维CT检查显示其左侧髁突颈部骨折、右侧下颌体部骨折且伴明显移位。若采用传统保守治疗,可能导致关节强直、面部畸形等后遗症。经口腔科主任靳勇牵头,联合麻醉科、创伤二科等多学科会诊,团队决定为患者实施“左侧髁突骨折切开复位内固定术+右侧下颌骨体部骨折切开复位内固定术”,攻克这一高难度手术。
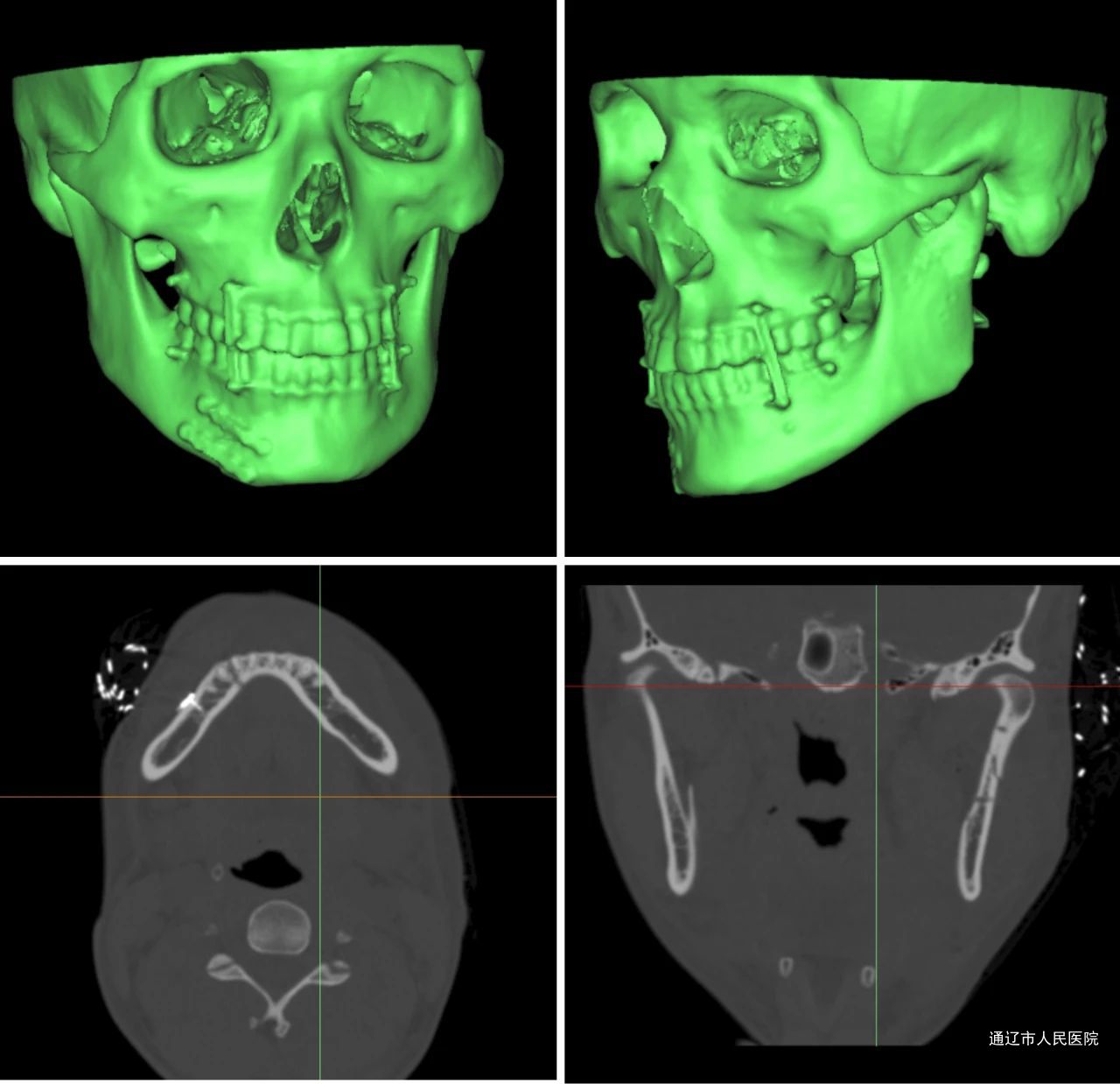
术中,团队采用耳前入路,凭借过硬技术精准解剖并避开面神经分支,暴露骨折端后利用可吸收固定系统实现解剖复位。针对髁突位置深、操作空间狭小的难点,手术团队历时5小时,以不足50ml的出血量完成操作,患者生命体征全程平稳。术后影像显示,骨折部位对位良好,患者功能恢复显著。
靳勇介绍,髁突骨折手术对局部解剖技术和复位固定技术要求极高,需充分暴露术野并保护周边面神经等重要解剖结构。此次手术的成功得益于术前多学科协作、3D建模演练及团队默契配合。作为区域内首家自主开展此类手术的医院,该案例为复杂颌骨创伤救治积累了宝贵经验,也标志着我院“技术立院”理念的实践突破。未来,我院将持续推动颌面外科向微创化、精准化方向发展。
健康提醒:颌面部外伤后若出现关节区肿胀、张口受限等症状,需尽早至具备技术条件的医院就诊,评估颞下颌关节损伤程度,避免错过黄金治疗期。

术前CT数字化建模

术前数字化模拟复位设计

术后CT数字化建模
【专家简介】

靳 勇
口腔科主任,副主任医师,硕士研究生,博士研究生在读,硕士生导师。多次于中国医科大学附属口腔颌面外科及种植科进修学习,中华口腔医学会创伤及正颌专业委员会委员,内蒙古口腔医学会理事,内蒙古医院协会口腔管理专业委员会副主任委员,通辽市口腔医学会副主任委员,通辽市医师协会口腔分会主任委员,通辽市医疗保险支付方式改革专家库成员。发表SCI论文一篇,国家级论文多篇、主编著作两部,高校教科书一部,申请专利两项。工作以来长期负责临床及教学工作。2017年、2018及2021年获得院级新技术新项目三等奖,2020年、2022年及2023年获得院级新技术新项目二等奖。2019及2020年获得通辽市医院优秀专业基地主任,2022年获得自治区优秀专业基地主任。长期从事口腔颌面良恶性肿物的诊断及治疗、颌面部创伤骨折及髁突骨折的诊疗、颞下颌关节疾病的诊疗、复杂阻生牙及埋伏牙等牙槽外科诊疗、常规及复杂种植牙诊疗、无牙颌种植等口腔科常见疾病的诊疗。

靳 勇
口腔科主任,副主任医师,硕士研究生,博士研究生在读,硕士生导师。多次于中国医科大学附属口腔颌面外科及种植科进修学习,中华口腔医学会创伤及正颌专业委员会委员,内蒙古口腔医学会理事,内蒙古医院协会口腔管理专业委员会副主任委员,通辽市口腔医学会副主任委员,通辽市医师协会口腔分会主任委员,通辽市医疗保险支付方式改革专家库成员。发表SCI论文一篇,国家级论文多篇、主编著作两部,高校教科书一部,申请专利两项。工作以来长期负责临床及教学工作。2017年、2018及2021年获得院级新技术新项目三等奖,2020年、2022年及2023年获得院级新技术新项目二等奖。2019及2020年获得通辽市医院优秀专业基地主任,2022年获得自治区优秀专业基地主任。长期从事口腔颌面良恶性肿物的诊断及治疗、颌面部创伤骨折及髁突骨折的诊疗、颞下颌关节疾病的诊疗、复杂阻生牙及埋伏牙等牙槽外科诊疗、常规及复杂种植牙诊疗、无牙颌种植等口腔科常见疾病的诊疗。

当前位置:
