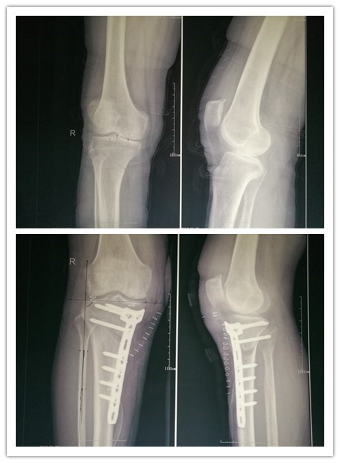
近日我院骨四科完成了首例胫骨高位截骨术(HTO)治疗膝关节骨关节炎,患者女性,61岁,右膝关节肿痛、屈伸活动受限半年,半年来患者行保守治疗,疼痛症状未见好转,入院诊断:右膝骨关节炎。
.jpg)
.jpg)
燕飞主任医师看过病人后考虑到患者有行全膝关节置换或半膝置换等二次手术的可能,查体患者只有膝关节内侧负重后疼痛,建议患者行保膝手术治疗。
膝骨关节炎常伴有膝内翻畸形,并产生关节内的持重应力分布改变,导致力线的不平衡,继而加速膝骨关节炎的病变,症状加剧。
研究证实开放楔形胫骨高位截骨,采用低切迹锁定钢板固定,能够有效矫正患者的膝关节畸形,并且短期随访临床效果较好。
HTO(high tibial osteotomy):胫骨近端高位截骨术,是治疗膝骨关节炎(早期、中期)的一种手术方法。
HTO的适应症:
存在下肢内翻畸形(影像学检查排除膝关节半脱位);
膝关节屈膝活动度>100°;
患者内侧间室狭窄且有临床症状;
膝关节外侧间室基本正常;
膝关节内侧有良好的软组织覆盖;
患者能够主动活动,且年龄<70岁。
HTO通过纠正胫骨内翻畸形,把下肢力线适当转移到正常的外侧间室,从而明显地减低内侧间室的压强,将其恢复到软骨能够承受的正常范围内,可以有效地阻止软骨的磨损,缓解疼痛症状,甚至使已磨损的软骨和受伤的半月板有条件得以自我修复。胫骨内侧抬高,使膝关节内外侧压力均等,减少内侧应力性关节磨损,促进软骨恢复。HTO在纠正力线的同时,保留了关节,骨性愈合,是保留膝关节最自然状态的珍"膝"手术。
HTO属于不全截骨,保留了外侧1cm的骨性合页;又是双平面截骨,分为水平截骨面和上升截骨面。双平面结构更稳定;前方的上升截骨面位于血运丰富的松质骨区,愈合更迅速。外侧骨性合页和前方上升截骨面的迅速愈合,以及内侧坚强的内固定,为HTO提供3点稳定结构,患者可以迅速康复。患者术后第2天就开始患肢部分负重,4周开始逐渐增加负重,6-8周后可以完全负重。
对于那些膝关节疼痛行保守治疗后效果不好,又不想做关节置换手术的患者,HTO为其提供了一种新的选择。
.jpg)
简 介:
燕 飞
燕飞,通辽市医院骨外科学科带头人,微创骨科&关节外科主任,延边大学骨科硕士,骨科主任医师。
现任通辽市医师协会骨科分会主任委员;内蒙古医师协会骨科分会副主委,运动医学分会副主委,骨与关节结核学组副主委,骨关节学组副主委,骨肿瘤学组副主委,保膝保髋专业委员会副主委,脊柱微创学组常委;内蒙古医学会骨科分会常委,内蒙古医学会骨关节学组副主委,内蒙古医学会运动医学分会常委;中国医药教育协会肩肘运动医学专业委员会内蒙古培训中心副主任委员;中国中医药研究促进会软组织疼痛分会、第五届委员会常委;内蒙古自治区医学会第四届医疗事故技术鉴定专家库成员及第二届预防接种异常反应鉴定专家库成员。
获内蒙古自治区“新世纪321人才工程”第三层次人选;通辽市2013-2015年度通辽市科学技术进步奖两项,获国家实用新型发明专利12项,获通辽市医院“十佳医生”、“先进个人”等称号,所带领科室获得通辽市医院先进集体2次,先进分工会2次,新技术新项目一等奖2次,二等奖6次,三等奖2次,技术合作奖1次,先后于北京大学第三医院、北京大学人民医院、北京积水潭医院、解放军301、304、306医院、北京垂杨柳医院、北京同仁医院骨科、吉林大学三院、上海第六人民医院等地进修学习。擅长关节镜、脊柱内镜、射频、臭氧、冲击波、小针刀等组合微创技术,广泛开展肩、肘、髋、膝等关节置换,对脊柱及四肢创伤的微创治疗有独到心得,常规开展脊柱前后路手术,骨肿瘤、骨病及骨神经畸形等疑难骨病诊治及骨科常见病的非手术治疗。发表学术论文及论著20余篇。

当前位置:
