如今,爱美的人越来越多,一方面经常穿高跟鞋的女性多了;另一方面,对于足趾畸形,人们不再“一忍再忍”,因而到医院接受足趾畸形矫正的患者也越来越多。但即便是这个看似简单的疾病,其治疗方法也是层出不穷,有传统的开放手术、较新的微创手术。在矫形理念上,人们在追求矫形效果的同时,还要求具有美容效果。因而,在众多的治疗方法中,哪种手术效果更好、如何根据患者的具体情况选择合适的治疗方法等,都是目前足踝外科经常讨论的话题。近日,骨二科团队在张继锋主任带领下完成一例足踝外科矫形手术。
患者陈XX,女,44岁,住院号:X180817396,因右足小趾行走时疼痛5年余入院,既往:5年前在当地医院门诊行右足小趾外侧胼胝切除,术后右足小趾外侧逐渐再次出现胼胝,痛性滑囊形成,查体:右足前足增宽,第5跖骨头外侧皮肤可见骨性突起,小趾跖骨头外侧偏足底处胼胝形成,胼胝压痛。
.jpg)
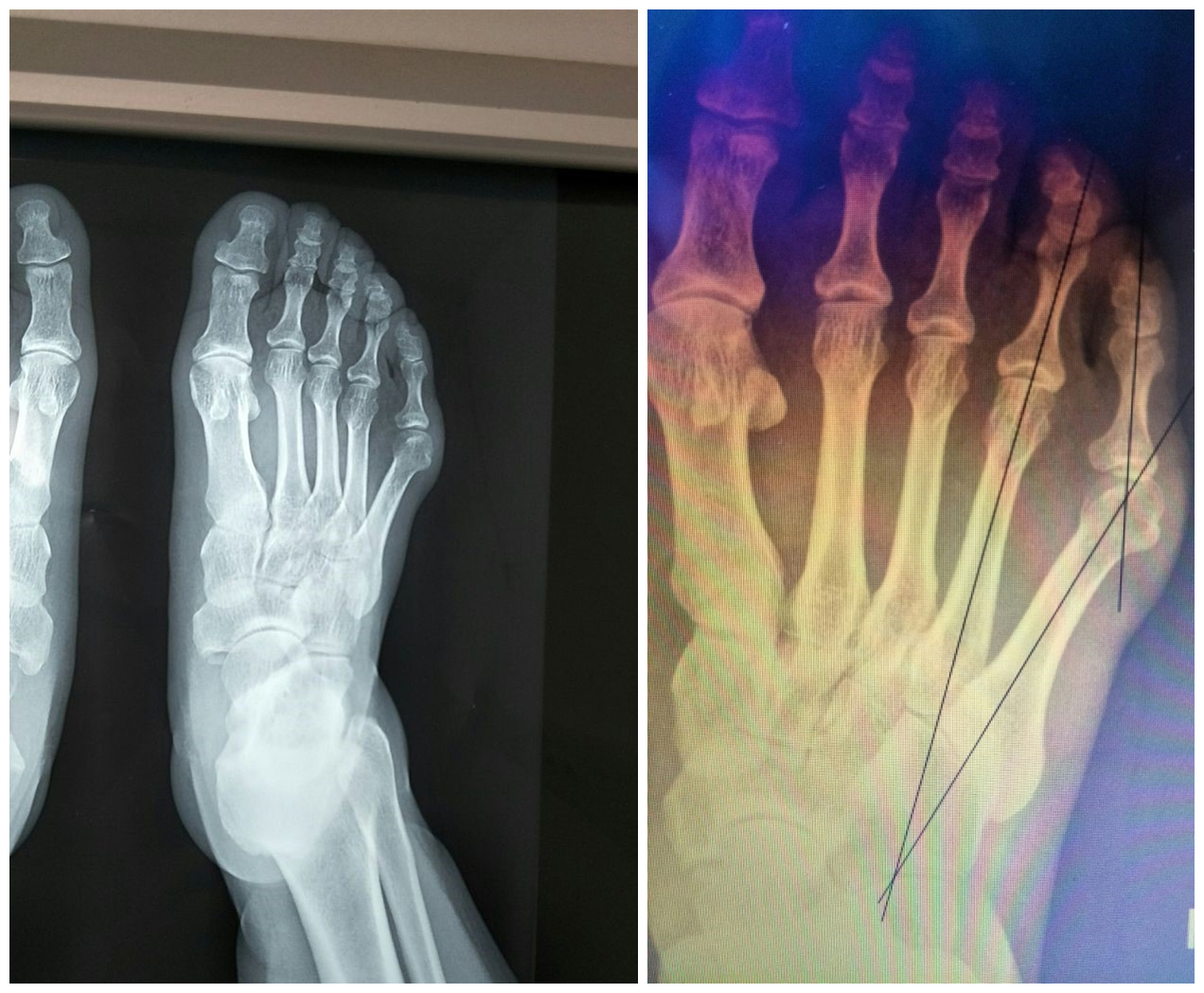
右足正侧位X光片:右足第5跖骨头外侧骨赘形成,第4.5跖骨间角增大(20°),小趾跖趾关节角增大(20°)。诊断:小趾囊炎(III型,右)。
.jpg)
右足小趾外观,术前评估:前足AOFAS评分:(72分),VAS评分:静息(0分),非负重活动(0分),负重活动(6分)
.jpg)
右足正侧位X光片:右足第5跖骨头外侧骨赘形成,第4.5跖骨间角增大(20°),小趾跖趾关节角增大(20°)。
.jpg)
患者入院后,积极完善术前检查,明确诊断及分型,主管医生陈立福与张继锋主任,肖海祥副主任医师会诊讨论,制定手术方案,于2018年8月18去手术室,由陈立福副主任医师主刀,在肖海祥副主任医师配合下行右足小趾胼胝、滑囊、切除,第5跖骨干截骨、内固定手术(改良WEIL)。

术后右足小趾外侧骨性突起消失,前足宽度恢复正常,畸形矫正满意,足趾活动良好,足趾感觉正常,足趾末梢血运良好。

术后拍片复查:右足第4.5跖骨间角恢复正常(4.5跖骨间角7°),小趾跖趾关节角恢复正常,第5跖骨头高度良好。
小趾囊炎是足踝外科矫形手术之一,骨二科陈立福副主任医师刚刚从空军总医院和积水潭医院进修归来,将自己所学足踝外科技术应用于临床,也标志着我院逐渐开始开展规范化足踝外科矫形手术,骨二科计划开展足踝外科手术有:拇外翻(Chevron术式,Scarf术式,Lapidus术式等),踝关节骨性关节炎踝上截骨(SMO),踝关节融合,距下关节融合及三关节融合,高弓足(Cavus Foot)矫正,扁平足(Flat Foot)矫正,跟腱断裂微创手术,跟腱病(Haglund畸形)病灶清除,跟骨骨折术后畸形愈合矫正(跟骨截骨),副舟骨损伤(副舟骨切除),距骨骨软骨损伤(骨软骨移植),糖尿病足创面治疗,糖尿病夏科氏关节病(Charcot Disease)手术治疗,类风湿性关节炎关节成形手术治疗,同时也开展足踝创伤手术,努力将足踝外科手术向规范化方向发展,为咱们通辽市患者提供标准化,高水准的手术治疗技术。

当前位置:
