脑梗死为我地区常见病、多发病,有明显的季节高发性,随着秋冬季来临,此类患者在门急诊、住院中会逐渐增多。
头颅CT、头颅MRI、MRA(磁共振颅内动脉血管成像)已广泛应用于临床,对脑血管病的定位、定性诊断帮助极大,但是并不是所有脑梗死患者的病变原因都在颅内。缺血性卒中发病原因的Toast分型,第一项即为大动脉粥样硬化性病变引起的卒中,因此应引起重视。如图1:
.jpg)
图1
如果单看颅内血管成像,无需介入治疗,但如果连同颈部动脉血管成像(图2、3)。
.jpg)
图2 图3
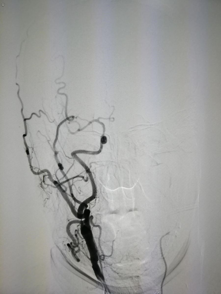
则患者有必要行血管内支架植入治疗(2018-09-12为该患行支架植入治疗)。图4为术后正位,图5为正位支架位置。
.jpg)
图4 图5
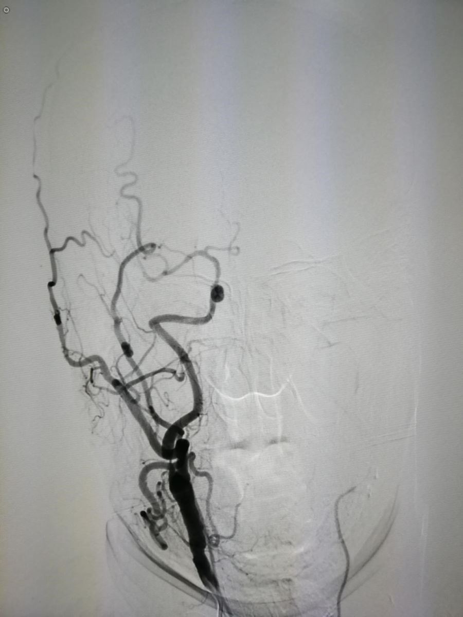
图6为术前斜位,图7为术后斜位。
.jpg)
图6 图7
颈部动脉(包括双侧颈动脉及双侧椎动脉)因动脉粥样硬化、血流动力学等因素,易形成斑块,斑块逐渐增大使管腔逐渐狭窄,颅内血管处于低灌注状态;或是斑块不稳定,发生破溃,斑块内脂质成分裸露在血管腔内,导致血小板聚集形成血栓,血栓脱落。以上两种情况均可导致脑缺血事件的发生。在临床上可表现为:头晕、记忆力、定向力减退、意识障碍、一过性黑朦、偏瘫、偏身感觉障碍、伸舌偏向、言语不利、不能听懂别人说的话等。这时候,单纯检查颅内动脉成像(如MRA),可能会漏诊,使患者失去治疗机会。
根据国家指南建议,对于新发脑梗死患者,应尽快明确头颈部血管情况,检查的方式可分为:颈部血管彩超、MRA(磁共振血管成像)、CTA(CT血管成像)、DSA(全脑血管造影术)。但因为上述各种检查在临床工作中的局限性,阳性率表现大概为:颈部血管彩超(<50%)、MRA(50%)、CTA(80%)、DSA(99%)。因此,结合我院实际情况,对于急性脑跟死患者或脑血管病高危人群,在无造影剂(碘普罗胺)禁忌情况下,尽量选择CTA、DSA等检查。如对造影剂过敏,或低危人群筛查,尽量遵循无创到有创、经济等原则来进行。
随着我地区脑梗死患者发病日益增多,神经科医师应有意识的对患者发病原因进行分类,并完善头颈部血管检查,同时有义务向全院医务工作者宣传脑血管病的病因和检查方式,进而向全社会广大人民群众宣传,让人们认识到该类疾病的危害,减少发病率,并得到有效的治疗。
通辽市医院神经内三科宣
附1:颈动脉狭窄程度及斑块性状的评估
对于怀疑由于颈动脉狭窄而导致一过性视网膜缺血或半球定位症状的患者及无症状筛査患者,建议首先选择无创性影像方法进行检査。如果不适合用超声检査或者结果不清楚难以确诊,可以应用磁共振血管成像(MRA)或CT血管成像(CTA)来评估颈动脉狭窄。经导管血管造影术对一些病例的确诊是必要的,尤其是当多种无创性影像检査结果不一致时。
1.双功能超声
双功能超声将二维实时成像与多普勒流量分析结合起来评估靶血管,通过测量血流速度间接反映狭窄的程度,但在确定或排除70%以上颈动脉重度狭窄时其敏感性和特异性相对较低。双功能超声技术作为一种无创、简易、廉价、相对准确的颈动脉狭窄评估手段,推荐在症状性颈动脉狭窄和无症状筛査患者中首先使用。
2.磁共振血管成像
MRA能够无创的生成颈动脉图像,是由于流动血液的射频信号有别于周围软组织,从而可以采用特殊的技术如3D-TOF对动脉管腔直接成像。由于平扫MRA图像质量容易受到一些因素的影响,常高估狭窄程度,现在还是越来越倾向于使用对比剂增强的MRA,通过放大流动血液与周围组织之间的相对信号强度,从而对颈动脉管径做出更准确的评估;高品质对比剂增强MRA可以为主动脉弓、颈动脉和脑动脉提供清晰的解剖成像。
MRA对动脉钙化的不敏感是其相对于颈动脉超声和CTA的明显优势。MRA评估颅外颈动脉狭窄的局限在于高估狭窄程度,以及不能将接近闭塞的狭窄和完全闭塞区分开来。此外部分患者因幽闭恐惧症、过度肥胖或植入过磁性不兼容设备如起搏器或除颤器等而不能进行MRA检査。
3.CT血管成像
与MRA—样,CTA可以显示从主动脉弓到Willis环的解剖形态,多维重建分析还可以对非常迂曲的血管进行评价。但管壁钙化会影响管腔狭窄评估的准确性,当严重狭窄剩余管腔直径接近CT系统的分辨率极限时,体积平均化也会影响检测的准确性。
目前研究表明,CTA的效果可以与经导管血管造影相媲美,敏感性达到100%,特异性为63%(95%的可信区间为25%-88%);对于70%以下的颈动脉狭窄,其阴性预测值达到100%。需要指出的是要准确评估病变局部应多种重建技术联合应用。
4.经导管血管造影术
常规数字减影血管造影(DSA)依然是评估颅外颈动脉狭窄的金标准,是其它血管成像方法的比较标准。有很多种方法用来测量颈动脉的狭窄程度,但是不同的方法间存在明显的差异,目前国际上多采用NASCET试验中的测量方法(示意图),并在多数临床试验中应用。血管造影因其成本和相关风险使其难以成为一种筛选方法,主要的并发症是卒中,但经验丰富的医生进行血管造影的卒中发生率小于1%。当因为患者肥胖、肾功能不全或体内留置铁磁材料等而不能做MRA和CTA时,或当无创性成像产生不一致结果时,应优先使用经导管选择性血管造影术来评估颈动脉狭窄。
.jpg)
?NASCET:(1-a/d)x 100%
ECST:(1-a/b)x 100%
示意图:应用血管造影确定颈动脉狭窄程度的方法。
ECST:欧洲颈动脉外科试验;
NASCET:北美症状性颈动脉内膜切除术试验。(目前我国以NASCET测量为标准来评估头颈部动脉狭窄程度)
5.颈动脉狭窄斑块的评估
动脉粥样硬化斑块由脂质核心、外围的纤维帽和表面的内皮组成,斑块可分为稳定斑块和易损斑块两类。稳定斑块是指斑块脂质成分少,周围有大量的平滑肌细胞和胶原组织,这些均匀的纤维结构保持了斑块的稳定。易损或不稳定斑块则指斑块纤维帽很薄,脂质核心较大且松软,平滑肌细胞也极少,这种斑块很容易破裂而突然增大,也容易继发血栓形成。
斑块的形态学和易损性可由多种方法进行评估,如超声、CT和MRI。超声检査斑块的回声反射性和病理结构有关,低回声而不均匀说明斑块内出血和脂质成分多,而髙回声和均匀性多认为是纤维性斑块。
髙分辨MRI颈动脉管壁成像可提供更多的斑块细节,脂质成分和纤维帽可准确显示。造影剂增强的髙分辨MRI可分辨斑块的炎症成分、微血栓和新生血管。但应用此项技术进一步指导临床治疗目前尚无明确的建议。
附2:碘普罗胺注射液禁忌
禁忌:对含碘对比剂过敏及明显的甲状腺功能亢进的患者禁用。
妊娠及急性盆腔炎患者禁行子宫输卵管造影。
急性胰腺炎时,禁行ERCP(内窥镜逆行性胰胆管造影)。
禁用于鞘内注射。

当前位置:
