随着现代社会工业的进步和交通运输行业的发展,由各种高能量创伤导致的髋臼骨折的发病率也在逐渐增加。对于粉碎性骨折、骨折线累及髋臼承重区或伴有明显神经症状的患者,常需行骨折切开复位内固定术(open reduction and internal fixation ,ORIF)以达到骨折的解剖复位,缩短患者卧床时间,避免骨折的畸形愈合,最终使患者能够获得良好的功能恢复。但是应用 ORIF 技术时常面临着手术部位的感染、神经血管的损伤、异位骨化、切口愈合缓慢、患侧外展肌力下降、步态异常等问题,其手术并发症的发生率高达 25%,且许多并发症的发生并不是由于骨折本身所导致的,而是由于术中手术暴露方式、术者暴力操作等人为因素所造成的。目前全国骨科技术的前沿代表,北京积水潭医院已经利用计算机导航技术的发展“使用导航系统辅助对髋臼骨盆骨折进行经皮微创固定”获得了满意的临床效果。我科以本院实际情况出发,利用现有技术成功为一位复杂髋臼骨折患者实行了术前通道螺钉规划,极大降低了手术难度,减少手术创伤,使患者得以安全有效的快速康复。
病例介绍:患者李X,男性,60岁,因“车祸致左髋部外伤3小时,疼痛、活动受限”入院,左踝及左足踇趾背伸不能,左小腿外侧及左足背皮肤感觉迟钝,提示左侧坐骨神经损伤。行CT+三维成像提示:髋臼骨折(左),髋关节脱位(左)。急诊行左髋关节脱位手法复位,左股骨髁上骨牵引。并于伤后第7日行左髋臼骨折切开复位内固定术。
术前在刘利主任带领全科医生针对该病例进行了术前讨论,制定手术计划。张洪彬主管医师利用MIMICS影像软件对患者的CT数据进行了提取,并进行重新建模,在得到三维图像后,切割、分离得到单独的髋臼影像。大家通过360°全方位对该病例三维影像进行研讨、观摩,初步制定手术计划为K-L入路行后壁骨折复位,钢板螺钉固定,前柱通道螺钉固定横行骨折。但是难点在于在没有手术导航的条件下如何精准打入髋臼前柱通道螺钉。
我们应用软件自动建立虚拟骨盆三维仿真模型,应用相关软件功能模块建立虚拟圆柱体替代拉力螺钉,将虚拟圆柱体置入髋臼前柱骨质内,逐渐增大虚拟圆柱体的直径直至髋臼前柱骨质边缘,在三维层面中记录虚拟圆柱体的直径及长度,并测量入钉点与相关髋臼解剖结构的距离,测量虚拟圆柱体的入钉角度及螺钉在骨盆正位、入口位与骨盆正中线的夹角。在得到精准的螺钉入点、长度、角度等测量值后,为术中置钉提供了较为重要的参考价值。

.png)
(入院时三维重建图像)

(伤后行髋关节复位三维重建图像 )

(进行图像分割后获得骨盆髋臼,模拟髂骨斜位与骨盆入口位)


(术前模拟规划前柱通道螺钉入点与角度)

(术中角度验证)
.jpg)
(术中透视固定满意,达预期效果)
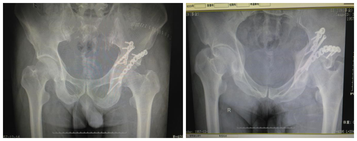
.jpg)
(术后复查DR)
该例前柱通道螺钉置入技术为我科第一例自主完成病例,在手术成功的喜悦背后,我们也加以思考:首先,一项复杂的骨科手术不仅需要术者精湛的手术技巧,还需其他手术成员对该手术有充分的知识理解,只有大家团结协作,心往一起想,劲往一处使,所有难题必会不攻而破;另外,现代骨科技术在秉承了老一辈的成功理念下,不断进行的探索创新,利用计算机模拟导航,不但提高了手术精度,降低了手术难度,但是每一项技术的运用与发展都离不开坚实的基础底蕴,不做盲目手术,不做无准备手术是每一位外科医生的行医标准;最后,在我们完成本例高难度手术之前,查阅了大量文献资料,针对该病例做了备选手术方案,以及术后并发症的预防上做了充足的准备。我科依旧本着严谨、进取、求实、团结的工作作风,为我院的今后发展及本地区的骨科技术提升做出应有的贡献!
特别感谢我院网络信息中心给予的影像数据支持!
骨一科全体医护人员祝全院同仁新年快乐,身体健康!

当前位置:
