骨科手术往往给人们最深刻的印象都是:斧子、凿子、电锯、刺耳的电钻声、石膏、支具一大堆。其实骨科医生是可以在复杂的手术面前,挥转刀锋,清晰分离血管神经、做到精确、细腻、手法轻柔,以最小的损伤代价换取最有利的术后恢复。
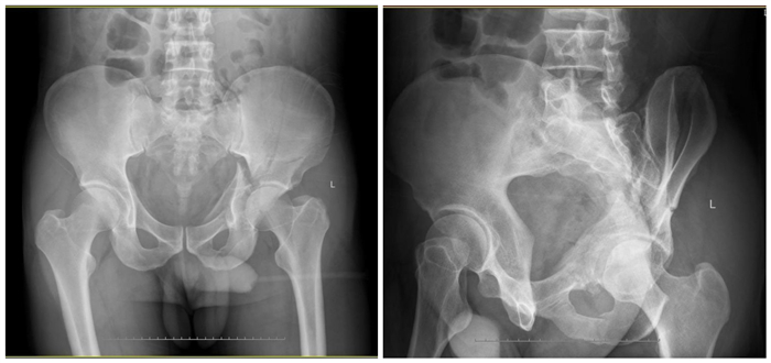
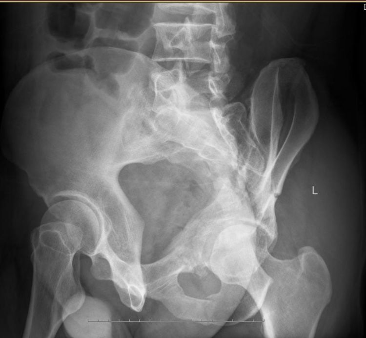
近日我骨一科就收治了一名因车祸伤至左侧髋臼双柱复杂骨折的病人。众所周知,骨盆髋臼骨折是创伤骨科最难的手术之一,髋臼骨折最复杂的类型(按Judet-Letournel 分型)就包括有前后柱的双柱骨折。

术前DR



利用mimics重建三维
目前髋臼双柱骨折手术的入路及复位固定方法存在较多争议,传统手术入路主要有髂腹股沟入路或联合后方K-L 入路。髂腹股沟入路要解剖股外侧皮神经、股神经、股血管等重要结构,操作较繁琐,时间较长;同时对四方体、髋臼后柱骨折复位、固定较为困难,因此部分患者需联合后方K-L 入路, 从而增加手术创伤、手术时间、术中出血及手术并发症等。Stoppa 入路由于手术切口小,对于骨折严重移位患者操作时复位困难等,需辅助髂窝入路进行骨折的显露、复位和固定,由于向外牵拉距离较远,显露不充分时常常于其止点处切断腹直肌, 造成肌肉损伤,可能引起远期并发症。

传统的髂腹股沟入路

Kocher-Langenbeck 入路(简称 K—L 入路)
接下来就要介绍主角登场:
腹直肌外侧入路:近年来,经腹直肌外侧切口入路治疗髋臼并骨盆骨折的手术方式逐渐被广泛应用,该方法与经髂腹股沟入路相比,经腹膜外间隙显露骨盆内侧来治疗复杂骨盆骨折,临床效果明显。切口小,通过后柱通道螺钉稳定后柱结构后,避免了联合后方K-L入路的选择,创伤小,患者术后恢复快,并发症少,满意度高。另外仅用2块钢板和2枚通道螺钉就可以达到稳定固定,极大节约了患者的经济负担。
.jpg)
术前切口规划

术中“死亡冠”的显露与结扎

术后前后位

术后髂骨斜位

术后闭孔斜位

这样的手术方案犹如薄冰上跳着优美的华尔兹,虽然冰面广阔光滑,但是菲薄的冰层暗藏着随时塌陷的风险,需要舞者坚定的信念,蜻蜓点水般的轻柔,还要充分的展示给观众最为华丽的美感,要求之高更离不开日积月累,初心不改,终归将得到观众最热烈的掌声。

与西院手术室团队的合影

骨一科的护士美眉们


术者简介:刘利 主任医师,通辽市医院骨一科主任,1994年毕业于包头医学院,现任内蒙古医师协会关节分会组委,内蒙古医学会骨科分会委员,内蒙古骨科学会通辽市创伤分会秘书长,德国海洛斯(Helios Klinik)医院访问学者。从事骨科工作20余年。

当前位置:
