.jpg)
6月15日,我院首例经食道容积超声心动图检查在东院区超声科成功开展,填补了我市此项技术空白。在杨莉主任的带领下,心内一科宝云龙主任的全力协助下,超声科心脏组医生相继已独立成功完成7位病人的检查。 科室特邀中国医学科学院阜外医院超声影像中心朱振辉教授来我院指导交流,朱教授现场进行了疑难病例的经食道心脏超声操作演示。
.jpg)
.jpg)
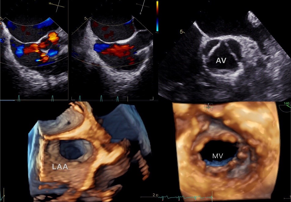
简单来说,经食道超声心动图是将超声探头置于食道内,从心脏后方近距离探查其深部结构。许多经胸壁超声心动图观察不清晰的病例,特别针对左心耳内有无血栓、卵圆孔未闭、瓣膜病及瓣膜赞生物以及心脏或部分危重病人术中监测等,亦用于评估、评价手术方式及效果等方面的应用。此检查方法,较传统经胸超声心动图提高了心血管疾病论断的敏感性和可靠性。从事此项技术的医生均经过北京安贞医院学习培训,并具备独立工作能力。所使用设备为GE Vivid E95彩超仪,拥有业内最为精巧的经食道容积超声探头6VT-D,融合了高密集信息处理及头端微型波束形成器技术,在减小探头体积的前提下,实现经食道单一心动周期快速四维成像的冋时更提高了患者的耐受性,比传统二维图像更直接、更真实,具有更丰富的诊断信息。
此项新技术的成功开展,标志着我院超声心动图诊断水平迈上了新的台阶,也将为本地区广大患者带来更精准的医疗服务。
.jpg)
同日下午,我院功能检查科主任杨莉作为通辽市医学会超声医学分会主任委员出席了通辽市医学会超声医学分会承办的2019迈瑞超声沙龙会-通辽站,会议在新世纪大酒店多功能会议厅隆重举办。来自我市各兄弟医院的百余位超声同仁参加了会议。
.jpg)
会议特邀上海交通大学医学院附属瑞金医院超声医学科任新平教授、中国医学科学院阜外医院超声影像中心朱振辉教授两位专家为大家分享了《超声造影在肝脏占位性病灶良恶性鉴别中的应用价值》与《超声心动图在常见先天心脏病介入治疗中的应用》。两位拥有深厚学术功底及丰富临床经验的权威专家结合临床实例多角度诠释了超声的实际应用,为在场同仁们提供了一场学术的饕餮盛宴。

当前位置:
