.jpg)
近日,我院肝胆胰外科成功完成通辽地区首例腹腔镜胰十二指肠切除术,此项手术的成功开展填补了我市完全腹腔镜下胰十二指肠切除术的空白。
患者徐某,男性,51岁,该患者于3个月前无明显诱因出现巩膜黄染,当时症状较轻,一直未在意,未予诊治。3个月来该患者巩膜呈进行性加重,于半个月前出现全身皮肤黄染,伴瘙痒,尿色加深,呈浓茶水色。期间,曾自行口服保肝药物治疗后,症状并无缓解,于本月14日就诊于通辽市传染病医院,被该院诊断为黄疸待查,建议到我院进行进一步诊治,故次日来我院门诊就诊,以“梗阻性黄疸”收入肝胆胰外科。
.jpg)
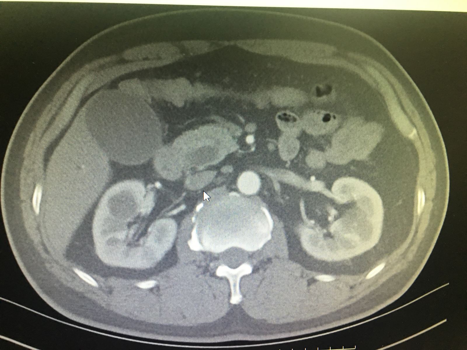
入院后,通过腹部彩超、腹部增强CT、胰腺核磁增强及MRCP,血常规、肝功能、肿瘤标记物等相关检查,结合检查结果,该患者胆红素升高、肿瘤标记物升高及相关影像资料,该名患者被确诊为壶腹周围癌。与患者及家属进行充分沟通后,由肝胆胰外科主任医师祁向军主任主刀,副主任医师郭雅明医生、副主任医师邵志远医生协助共同完成,采取吉大一院刘亚辉教授的结肠后入路,钩突先行的方法及洪氏一针法胰肠吻合,顺利为患者在全麻下行腹腔镜胰十二指肠切除术。该手术成功为患者切除病灶,术后给予患者抗炎、补液、保肝等后续治疗,目前该患者各项指标稳定。
胰十二指肠切除术是治疗胆总管末端,胰头部,十二指肠壶腹部及其周围肿瘤的标志性根治性手术,由于术中需要切除部分胃、胆囊、十二指肠、肝外胆管、胰头,并进行相应区域的淋巴结清扫,切除范围大,手术步骤繁杂,并发症多,预后差,至今依然是普外科最大、最难的手术之一。而比之更登峰造极的完全腹腔镜下胰十二指肠切除术,则是肝胆胰外科领域的巅峰之作,被视为手术中的“珠穆朗玛峰”,是普外科医生毕生追逐的终极目标。虽然完全腹腔镜下胰十二指肠切除手术自1994年被 Gagner and Pomp首次报道以来至今已20余年,但并未在临床中得到广泛的开展,目前,能够常规化开展腹腔镜胰十二指肠切除术依然被认为是一流肝胆胰外科中心的标志之一。
.jpg)
此次手术的成功开展不仅填补了通辽地区完全腹腔镜下胰十二指肠切除术的技术空白,也成功体现了我院肝胆胰外科在该领域的综合实力。自我院肝胆胰外科、胃肠外科专业细分化,科室能充分发挥主力人才的专业特长和技术优势,分类学科建设,学科发展强劲,符合国内大型综合医院的发展趋势。我院肝胆胰外科在祁向军主任的带领下,积极探索,刻苦专研,开展多项新技术、新项目,完成多例高难度手术,技术力量雄厚。科室始终以患者为中心,以科学严谨的态度,温馨优质的服务,赢得我市人民的广泛赞誉。

当前位置:
