.jpg)
.jpg)
.jpg)
.jpg)
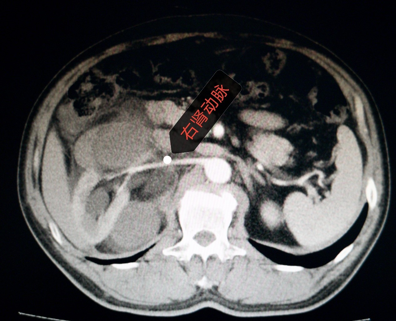
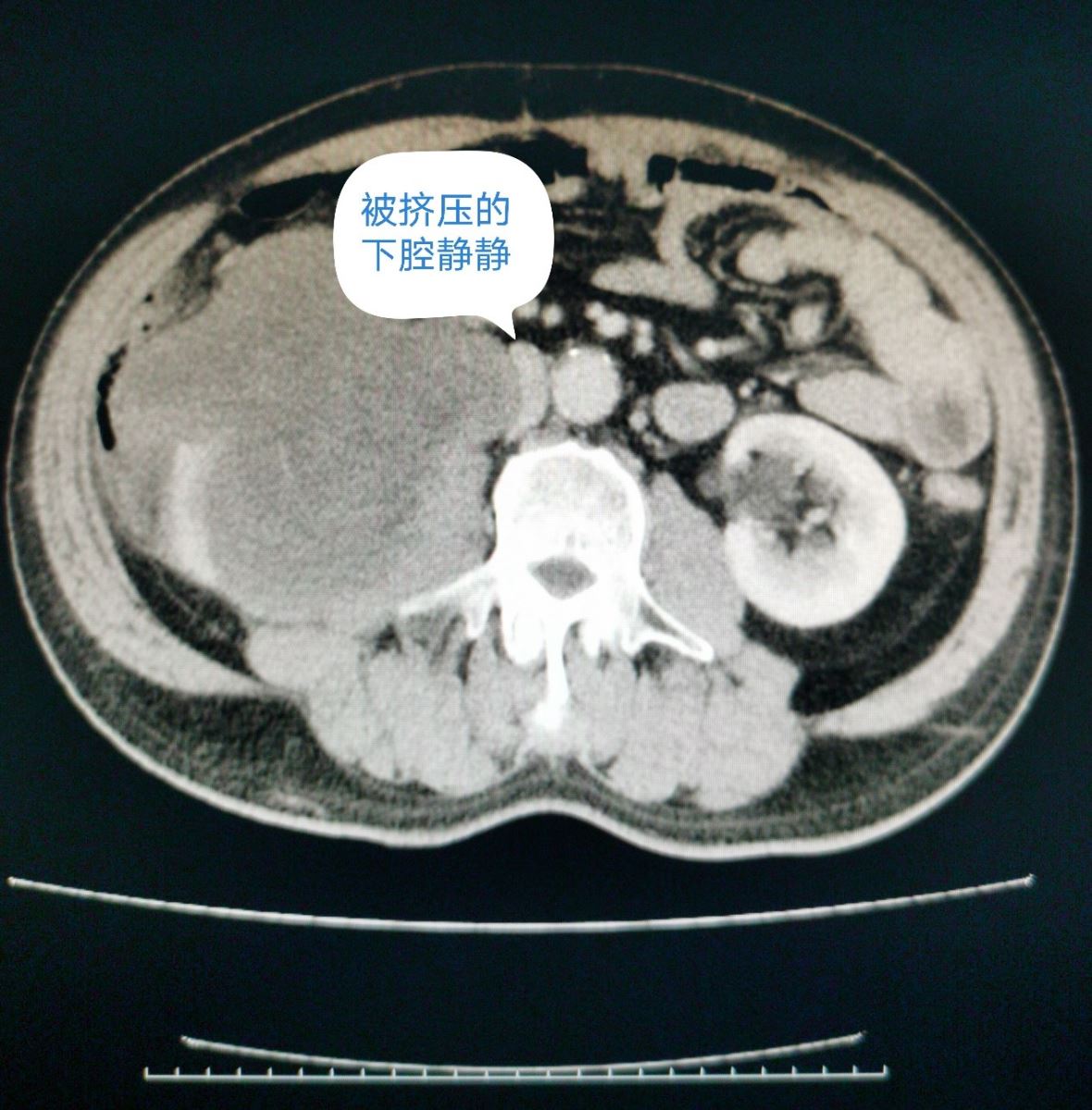
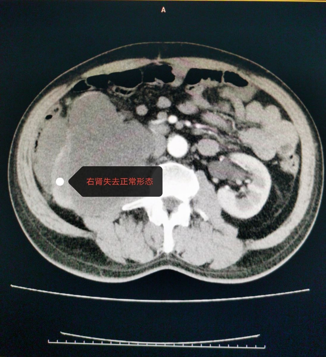
近日,西院肿瘤外科成功为一腹膜后脂肪肉瘤复发患者开展手术。患者于1年半前在外地某三甲医院被诊断为“腹膜后肿物”,行腹膜后肿物切除术,术后病理诊断为“腹膜后脂肪肉瘤”。此后定期复查,1月前,患者自觉左侧腹部可触及包块,伴疼痛,腹胀,食欲下降,消瘦明显。在外院查腹部彩超提示:腹膜后肿物。患者为进一步治疗,来我院。入院后完善检查,进一步明确诊断。全腹增强CT提示:右中腹见团块状混杂密度影,形态不整,右肾变形,内部密度不均,与下腔静脉、胰头、十二指肠,右侧腰大肌关系密切,增强扫描呈混杂密度影。肿瘤外科全体医生对患者病情进行了细致详尽的术前讨论。患者1年半前行腹膜后脂肪肉瘤切除术,此次考虑为腹膜后脂肪肉瘤复发,肿瘤较大,与周围器官关系密切,尤其紧邻下腔静脉,二次手术风险极大,一旦发生下腔静脉意外撕裂,可能造成空气栓塞等致命性危险。全科医生一起反复仔细查阅增强CT,制定详尽的手术计划。并对可能出现的风险及意外进行预判,提出解决方案。与患者家属沟通,详细交待病情,说明治疗方案及手术风险。
在进行了充分的围手术期准备后,手术如期进行,手术由张凤祥院长、刘德智主任、郭云峰医生、包巴特尔医生共同完成。术中探查所见:肿瘤位于右侧腹腹膜后,上方达肝下缘并伸向后纵膈,下方达右侧髂窝水平,内侧包绕下腔静脉前后方,外侧达升结肠侧腹壁,前方侵犯右半结肠系膜,后方与右侧腹膜后广泛粘连,右肾及肾血管、右输尿管包裹于肿瘤中。术中考虑为腹膜后脂肪肉瘤复发,决定行腹膜后脂肪肉瘤联合右半结肠、右肾、右肾上腺切除。肿物与周围组织器官粘连致密,活动度差,切除极其困难。手术历时四个半小时,顺利将腹膜后肿瘤与右半结肠、右肾上腺、右肾一并完整切除。未出现副损伤,患者术后恢复良好。
.jpg)
.jpg)
.jpg)
我院肿瘤外科将不断砥砺前行,攻坚克难。并将一如既往地为广大通辽人民的健康保驾护航!

当前位置:
