2020年6月13日下午,64岁的冯某在村内与人饮酒后发生争吵,不幸被刀砍伤,鲜血横流,冯某的家人第一时间将其送至我院急诊科救治。
接到患者后,急诊科迅速与口腔科取得联系,口腔科主任靳勇火速赶到,检查患者的伤口,尽管已经大致了解了伤情,但面对眼前的场景,还是有些吃惊。
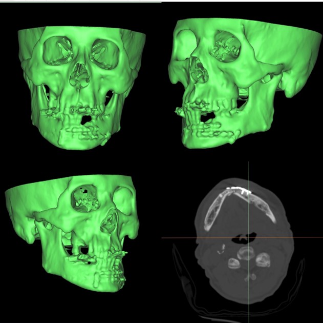
冯某满脸血肉模糊,且不止一处伤口,最触目惊心的是下巴上一条长约22cm的伤口,深露骨面,下颌颏部完全骨折,呈半游离,口内左侧下颌侧切牙、尖牙及第一前磨牙牙根均被砍断;此外左侧面部还有一条长约13cm的伤口,与口内贯通,腮腺导管也已断裂,血流不止。
因冯某受伤非常严重,经过口腔科急会诊后决定马上进行手术治疗。当日晚20点30分手术开始,靳勇主任有条不紊的展开手术:清理创口、拔除断根及受伤牙、复位下颌骨骨折段、吻合腮腺导管、关闭创口。终于,经过4个小时的努力,在李太伟、杨佳鑫等人的配合下,手术顺利完成。
术后,在ICU及口腔科团队共同的精心护理下,冯某的病情一天天好转,所有医护人员倍感欣慰。20天后,冯某康复出院,临行前冯某家属受冯某嘱托送上锦旗,感谢通辽市医院、感谢口腔科、感谢靳勇主任,使其没有被意外打倒。
.jpg)
三个月后,冯某前来复诊,他高兴地告诉医生:“我现在的功能基本恢复正常,都可以啃骨头了!”
.jpg)
.jpg)
通辽市医院口腔科靳勇主任提醒大家:生活中难免发生各种意外,一旦出现如上的严重情况,不要慌乱,及时前往正规医院的口腔科予以救治,切莫错过救治的最佳时机。

当前位置:
