近日,我院肝胆胰外科成功为一位肝肿瘤患者顺利实施了腹腔镜下解剖性肝右后叶切除术,手术的成功开展标志着我院肝胆胰外科微创技术已达到了区域内先进水平。

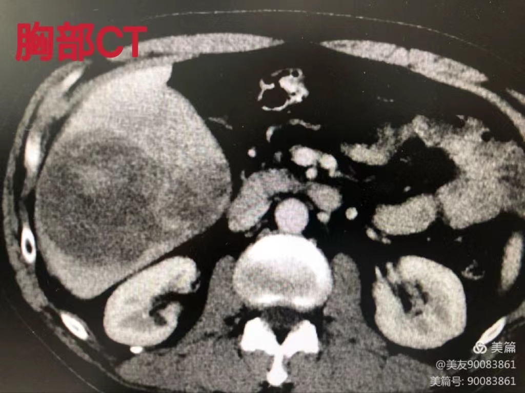
患者男性,51岁,因右上腹疼痛20余天来我院就诊,检查后诊断为肝右叶巨大肝癌收治入院,入院后完善相关辅助检查,经全科讨论,决定行腹腔镜下解剖性肝右后叶切除术,因腹腔镜下S6、S7段切除位置特殊,显露困难,一直被业界认作是腹腔镜肝脏手术的巅峰。我院肝胆胰外科主任祁向军带队科室,经过术前准确评估肝功能,残肝体积及肿瘤与血管之间的关系,由祁向军主任主刀,郭雅明、满泉副主任医师协助。术中精确结扎肝右动脉右后支,分离显露门静脉右支,解剖出肝右后叶Glisson鞘,并分出门静脉右后上支及右后下支给予结扎,给予间断阻断肝门,完整切除肿瘤及肝右后叶,手术顺利,患者术后恢复较好,肝功能恢复正常!

腹腔镜下肝脏切除术曾经被认为是手术“禁区”,肝脏解剖变异较大,具有肝动脉和门静脉双重血供,血运异常丰富,切除时极易出血,操作难度较大,特别是有关右肝的手术风险更大。但相比于传统的开腹肝叶切除手术,腹腔镜下精准肝叶切除手术有着创伤小、患者痛苦少、恢复快、并发症少、住院时间短的优点,符合ERAS(加速康复外科)指南。但对手术医师的要求极高,医师不仅要非常熟悉肝脏的解剖,同时必须具有丰富的开腹手术和腹腔镜外科技术经验。该手术的顺利完成,标志着我院腹腔镜微创技术迈向一个新的台阶!

我院将继续坚持“精准微创外科”的理念和精益求精的工匠精神,攻坚克难,不断提高微创技术水平和能力,努力实现腹部外科手术创伤更小、更加精准的目标,为广大患者提供更加优质的医疗服务。
专家简介

祁向军,肝胆胰外科主任、主任医师。擅长于肝胆胰肿瘤的诊断及治疗,如腹腔镜胰十二指肠切除术、腹腔镜下半肝切除、腹腔镜下胆管癌切除及腹腔镜下保脾胰体尾切除等高难度手术;胃癌根治术,结、直肠癌根治术等胃肠道肿瘤的诊断及治疗,能够熟练应用腹腔镜技术开展腹腔微创手术。在《中国实用外科杂志》《中国医师进修杂志》《中国医学人文》《航空军医》等国家级期刊发表专业论文10余篇。内蒙古医学会普通外科分会会员,肝胆胰分会常委。

郭雅明,肝胆胰外科副主任医师。医学硕士学位,擅长肝胆胰脾良恶性疾病的诊治;如:胆囊结石,胆总管结石、急性胰腺炎;肝癌、胆囊癌、胆管癌,胰腺癌及胰腺神经内分泌肿瘤等;熟练开展腹腔镜微创手术,如腹腔镜下胆囊切除及保胆取石术、胆总管探查;腹腔镜下半肝切除术,腹腔镜下胆囊癌根治,腹腔镜下胆管癌切除、腹腔镜下胰体尾切除及脾切除术等。发表专业论文数篇。其中SCI收录1篇,内蒙古自治区卫健委科技计划项目1项,实用型专利1项。

满泉,医学博士,副主任医师。专业特长:肝、胆、胰、脾良恶性疾病的微创治疗:胆囊结石、急性胆囊炎、胆总管结石、急性胰腺炎、肝癌、胆囊癌、胆管癌、胰腺癌及胰腺神经内分泌肿瘤等;在国内外权威期刊发表论文数篇,其中SCI收录1篇。主持内蒙古卫健委项目一项,骨干成员参与内蒙古科技厅项目一项。

当前位置:
