
近日,我院肝胆胰外科祁向军主任团队成功完成一例腹腔镜下胰体尾+脾根治性扩大切除术,手术由祁向军主任主刀,陈艳哲、李国超、刘旭医师为助手,手术顺利,现患者恢复良好。
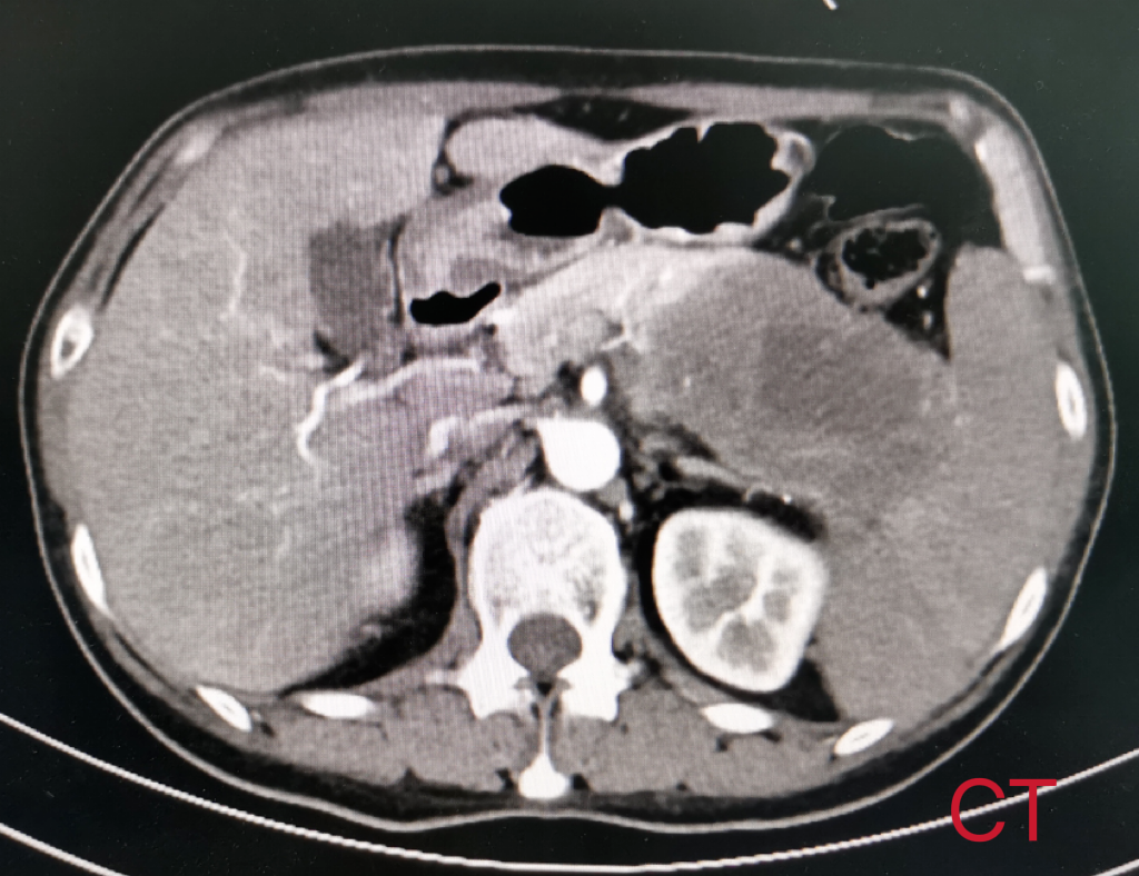
患者女性,57岁,因“间断左上腹疼痛3月余”入院,既往无特殊疾病史。入院后完善相关检查提示:胰腺尾部占位性病变,约8cm×5cm,考虑囊腺癌,累及脾动静脉和腹腔干可能性大。肠镜发现结肠距肛门30cm可见一肿物。患者腹痛逐渐加重,通过术前充分评估和讨论,祁向军主任认为结肠肿物为胰腺肿瘤侵犯所致,在与患者及患者家属充分沟通后,决定立即为患者施行手术治疗。考虑血管侵犯可能以及肿瘤较大,决定为其行胰体尾+脾根治性扩大切除术,包括胰体尾、脾、部分受侵结肠的切除以及周围腹腔淋巴结的清扫,并且备术中腹腔干的切断以及置换。手术成功完成,患者胰体尾、脾、和部分结肠完整切除,现患者已康复出院。




胰体尾癌发病隐匿,恶性程度高,5年生存率不足9%,根治性手术是目前唯一可能使患者获得长期生存的治疗手段。此次手术的成功完成标志着我院在肝胆胰外科腹腔镜手术达到了新高度。我院目前常规开展腹腔镜下胰十二指肠切除术、腹腔镜下解剖性肝切除术、腹腔镜下胰体尾切除术等,为患者解决疾病带来的痛苦。我院将继续以为守护百姓健康为目的,以“三比三创”“内强素质 外树形象 优质服务与医疗技术双能力提升年”为抓手,为百姓提供更精准、更优质的医疗服务。
专家简介
祁向军

肝胆胰外科主任、主任医师。擅长于肝胆胰肿瘤的诊断及治疗,如腹腔镜胰十二指肠切除术、腹腔镜下半肝切除、腹腔镜下胆管癌切除及腹腔镜下保脾胰体尾切除等高难度手术;胃癌根治术,结、直肠癌根治术等胃肠道肿瘤的诊断及治疗,能够熟练应用腹腔镜技术开展腹腔微创手术。在《中国实用外科杂志》《中国医师进修杂志》《中国医学人文》《航空军医》等国家级期刊发表专业论文10余篇。内蒙古医学会普通外科分会会员,肝胆胰分会常委。
陈艳哲

主治医师,擅长肝脏、胆囊、胆道、胰腺、脾脏、外周血管相关疾病诊治,如:胆道疾病、急性胰腺炎;肝、胆、胰肿瘤等;熟练开展腹腔镜微创手术治疗,如腹腔镜下胆囊切除术、胆总管探查术;腹腔镜下脾切除术等。
李国超

硕士研究生,主治医师。擅长肝胆胰和外周血管常见疾病的诊治 ,如:胆石症、胰腺炎、肝癌、胆囊癌、胆管癌等。在国内核心期刊发表多篇文章。
刘旭

硕士研究生,住院医师。擅长肝胆胰外科常见疾病的诊治 ,如:胆石病、肝脓肿、急性胰腺炎和肝癌、胆道及胰腺系统的良恶性肿瘤等。在国内核心期刊发表论文数篇。参与国家自然科学基金、内蒙古自治区科技攻关、内蒙古自然科学基金等项目的研究。

当前位置:
