
近日,我院肝胆胰外科祁向军主任团队成功完成一例完全经腹腔镜下胰十二指肠切除术+联合门静脉部分切除血管吻合重建+胰体切除术,手术在祁向军主任的指导下,由郭雅明主任医师主刀,邵志远副主任医师协助,陈艳哲、满泉等医师通力合作下顺利完成。
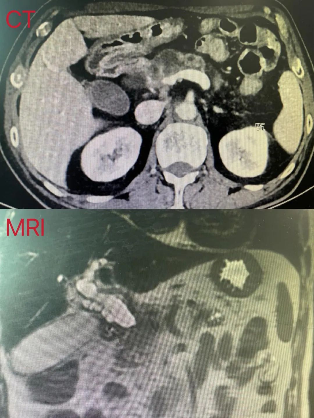
患者为高龄男性,因“间断性腹痛伴皮肤巩膜发黄1周余”入院,入院后完善相关检查提示:胰头肿瘤侵犯门静脉,考虑胰头癌,胰体囊肿,梗阻性黄疸。在与患者及患者家属充分沟通后,决定为其行腹腔镜下胰十二指肠切除术+联合门静脉部分切除血管吻合重建+胰体切除术,最大程度保留了胰腺功能,使患者得到根治性治疗。现患者恢复良好,术后1周复查超声重建门静脉血流通畅无狭窄。

胰腺癌是一种高度恶性肿瘤,目前临床仍采取以手术治疗为主的方式进行综合治疗。近年来,我院肝胆胰外科在成熟开展腹腔镜胰腺癌根治手术基础上,还积累了腹腔镜下门静脉切除重建吻合,动脉吻合重建的腹腔镜血管吻合的手术经验。本次手术的成功开展不仅填补了我市肝胆胰外科专业微创领域的技术空白,也标志着我院在肝胆胰外科腹腔镜手术领域里又达到了新的高度。我院将继续以为守护百姓健康为目的,以“三比三创”“内强素质 外树形象 优质服务与医疗技术双能力提升年”为抓手,为百姓提供更精准、更优质的医疗服务。
专家简介
祁向军

肝胆胰外科主任、主任医师。擅长于肝胆胰肿瘤的诊断及治疗,如腹腔镜胰十二指肠切除术、腹腔镜下半肝切除、腹腔镜下胆管癌切除及腹腔镜下保脾胰体尾切除等高难度手术;胃癌根治术,结、直肠癌根治术等胃肠道肿瘤的诊断及治疗,能够熟练应用腹腔镜技术开展腹腔微创手术。在《中国实用外科杂志》《中国医师进修杂志》《中国医学人文》《航空军医》等国家级期刊发表专业论文10余篇。内蒙古医学会普通外科分会会员,肝胆胰分会常委。
郭雅明

肝胆胰外科主任医师,中共党员;硕士研究生,现任内蒙古医科大学通辽临床学院临床技能中心主任;擅长于肝胆胰脾疾病的诊治,熟练开展腹腔镜肝脏、胆道、胰腺疾病微创手术。发表专业论文10余篇。其中SCI收录1篇。自治区卫健委科研课题1项。通辽医学会肝胆胰外科专科分副主任委员;通辽医学会普外科专科分会第二届委员会秘书长;内蒙古自治区医师协会肝胆胰脾外科分会青年委员;内蒙古自治区医学会外科学分会第一届肝胆学组委员会组员;内蒙古抗癌协会肝胆胰肿瘤专业委员会第一届委员青年委员会常务委员。
邵志远

硕士学位,副主任医师。现任国际血管联盟中国分部门静脉高压学组专家委员会委员。内蒙古自治区医学会血管外科学分会委员。内蒙古自治区医学会血管外科学分会第四届青年委员会委员。通辽医师协会腔内血管学分会第一届委员会副主委。通辽医学会外科学分会委员。通辽医学会肝胆胰外科分会第一届委员,通辽市医师协会普通外科专业委员会会员。通辽市科尔沁区第十七届人民代表大会代表。在国家级刊物发表论文数篇。
满泉

副主任医师,医学博士,中共党员。担任内蒙古抗癌协会胃肠肿瘤专业委员会第一届青年委员会委员,通辽市医师协会疝和腹壁外科分会第一届委员会委员,通辽市医师协会微创外科分会第一届专业委员会委员等学术任职。主持内蒙古卫健委项目1项,骨干成员参与内蒙古科技厅科技计划项目1项,参与国家重点项目1项。在国内外核心期刊发表论文10余篇,其中SCI收录1篇。专业特长:肝、胆、胰、脾良恶性疾病的微创治疗;尤其在胆囊结石、急性胆囊炎、胆总管结石、急性胰腺炎、肝癌、胆囊癌、胆管癌、胰腺癌及胰腺神经内分泌肿瘤等疾病的腹腔镜下切除等微创治疗方面具有丰富的经验。
陈艳哲

主治医师,擅长肝脏、胆囊、胆道、胰腺、脾脏、外周血管相关疾病诊治,如:胆道疾病、急性胰腺炎;肝、胆、胰肿瘤等;熟练开展腹腔镜微创手术治疗,如腹腔镜下胆囊切除术、胆总管探查术;腹腔镜下脾切除术等。

当前位置:
