
近日,我院肝胆胰外科祁向军主任团队,完成一例腹腔镜下解剖性肝5、8段切除术,手术由祁向军主任主刀,郭雅明、满泉、李国超医师为助手,手术顺利完成,现患者恢复良好,已康复出院。

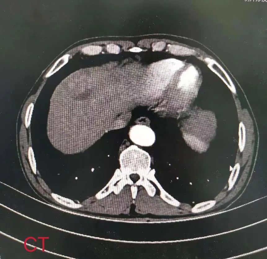
患者男性,66岁,因上腹疼痛3年,加重半月入院,既往大量饮酒史。入院后完善相关检查,腹部增强CT和MRI提示:肝脏占位性病变,约5*4*3cm大小,考虑肝癌。通过术前充分评估和讨论,明确肿瘤位于右前叶,紧靠肝中静脉。祁向军主任与患者家属充分沟通后,决定立即为患者施行手术治疗,考虑肿瘤在右前叶较局限,决定为其行腹腔镜下解剖性肝5、8段切除术。入腹后,按照预定手术方案,沿Laennec capsule进行解剖,在Glision鞘外解剖并离断肝5、8段的肝蒂,沿缺血线进行切除,完整切除肿瘤,探查腹腔无出血及胆漏后关腹。现患者已康复出院。


腹腔镜下解剖性肝切除操作复杂,尤其是肝中叶的切除,术中极易出血,对术者操作要求极高。此次我院挑战肝胆外科领域的“禁区”,沿着Laennec capsule进行鞘外解剖,进行肝切除时使术中出血明显减少,并且最大限度保留功能性肝脏体积,术后降低患者并发症的发生率,恢复快,提高患者的生命质量,远期临床疗效更明显。日后,我院将继续为解决更多患者的疾病勇攀高峰,向党的二十大献礼。
专家简介
祁向军

肝胆胰外科主任、主任医师。擅长于肝胆胰肿瘤的诊断及治疗,如腹腔镜胰十二指肠切除术、腹腔镜下半肝切除、腹腔镜下胆管癌切除及腹腔镜下保脾胰体尾切除等高难度手术;胃癌根治术,结、直肠癌根治术等胃肠道肿瘤的诊断及治疗,能够熟练应用腹腔镜技术开展腹腔微创手术。在《中国实用外科杂志》《中国医师进修杂志》《中国医学人文》《航空军医》等国家级期刊发表专业论文10余篇。内蒙古医学会普通外科分会会员,肝胆胰分会常委。
郭雅明

肝胆胰外科主任医师,中共党员;硕士研究生,现任内蒙古医科大学通辽临床学院临床技能中心主任;擅长于肝胆胰脾疾病的诊治,熟练开展腹腔镜肝脏、胆道、胰腺疾病微创手术。发表专业论文10余篇。其中SCI收录1篇。自治区卫健委科研课题1项。通辽医学会肝胆胰外科专科分副主任委员;通辽医学会普外科专科分会第二届委员会秘书长;内蒙古自治区医师协会肝胆胰脾外科分会青年委员;内蒙古自治区医学会外科学分会第一届肝胆学组委员会组员;内蒙古抗癌协会肝胆胰肿瘤专业委员会第一届委员青年委员会常务委员。
满泉

副主任医师,医学博士,中共党员。担任内蒙古抗癌协会胃肠肿瘤专业委员会第一届青年委员会委员,通辽市医师协会疝和腹壁外科分会第一届委员会委员,通辽市医师协会微创外科分会第一届专业委员会委员等学术任职。主持内蒙古卫健委项目1项,骨干成员参与内蒙古科技厅科技计划项目1项,参与国家重点项目1项。在国内外核心期刊发表论文10余篇,其中SCI收录1篇。专业特长:肝、胆、胰、脾良恶性疾病的微创治疗;尤其在胆囊结石、急性胆囊炎、胆总管结石、急性胰腺炎、肝癌、胆囊癌、胆管癌、胰腺癌及胰腺神经内分泌肿瘤等疾病的腹腔镜下切除等微创治疗方面具有丰富的经验。
李国超

硕士研究生,主治医师。擅长肝胆胰和外周血管常见疾病的诊治 ,如:胆石症、胰腺炎、肝癌、胆囊癌、胆管癌等。在国内核心期刊发表多篇文章。

当前位置:
