12月24日,正在舍伯吐修路的工人因突发急性胸痛于下午14:45分送至我院急诊科,入院时患者血压116/90mmHg,心率90次/分,频发室性早搏,既往有原发性高血压病史,急诊科医师快速反应,心电图提示“急性前壁心肌梗死”,此时患者距离发病已经过去近5个小时,时间就是生命,接诊医师在积极抢救同时,迅速发出一连串指令:一键启动胸痛中心应急流程、通知病房CCU做好接诊准备、通知心内一科值班介入医师急诊会诊、通知导管室进入应急状态。心内一科值班介入医师郑凯第一时间到达胸痛中心,评估急诊手术指征,与陪同人员进行交代病情,因患者家住黑龙江省,家属均不在身边,在与患者家属及单位领导积极电话沟通获取知情同意后迅速由胸痛中心直达导管室,此时心内一科及导管室所有介入医护人员已经准备就绪。

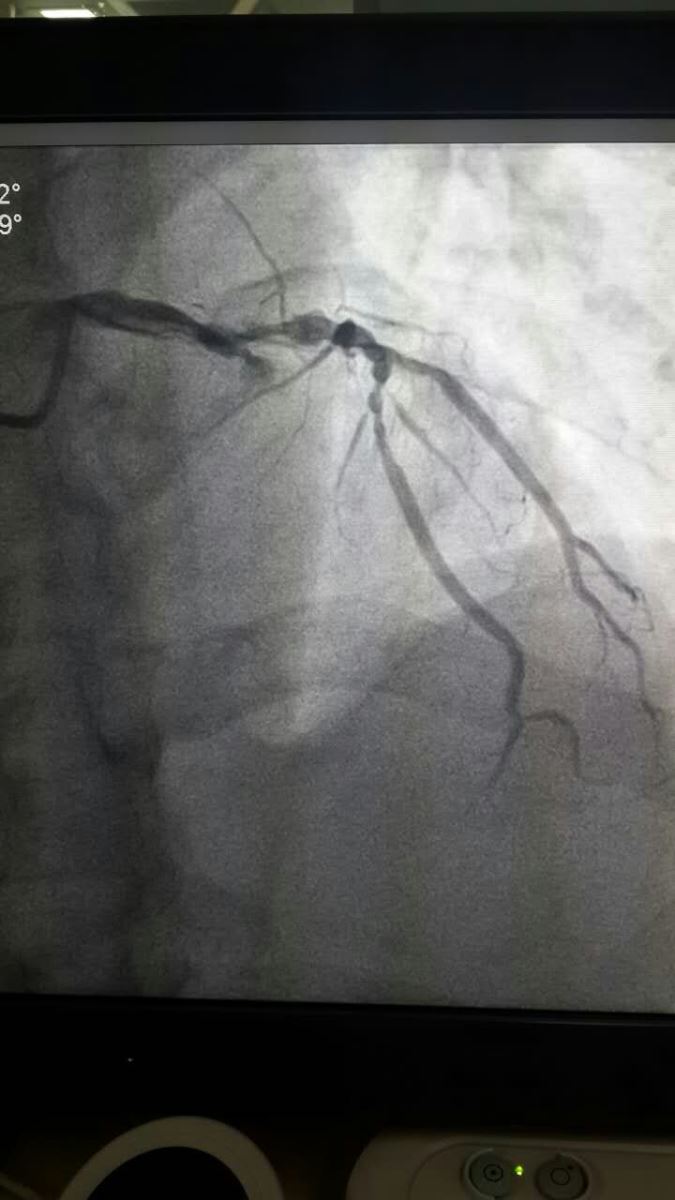
无影灯亮起,医生们站上手术台,一场没有硝烟的战争就此打响。我院心血管内一科介入医生立即展开手术。术前患者情况急转直下,血压降至60/40mmHg,心率降至40次/分,心电监护示频发室性早搏,迅速完成冠状动脉造影检查,发现左冠前降支近段近开口处完全闭塞伴有血管瘤及瘤样扩张,左回旋支多发瘤样扩张、管腔最重处达85%狭窄,手术风险极大,与陪同人员及与家属电话多次沟通后,在前降支球囊扩张后植入药物支架一枚,血管再通,前向血流恢复3级。在胸痛中心医护人员的努力下,为患者最快速度开通了“罪犯”血管,使患者转危为安,安返病室。手术仅45分钟(含与家属沟通时间),而D-to-B(进医院大门至首次球囊扩张)时间由之前台均约240分钟缩短至93分钟,执行先救治、后收费使得疾病及时救治,没有延误。我院胸痛中心再传捷报,绿色通道为拯救生命争得了时间。
.jpg)
手术前 手术后
今年12月份,我院成立了“胸痛中心”,实行全年365天、每天24小时的全天候值班制度。实现了院内专家第一时间出具病情诊断和救治意见,第一时间为患者入院进行血管开通准备。把急性冠状动脉综合征诊疗救治阵线前移,从而打通院前——院间——院内的救治链条,使院前急诊救治与院内绕行急诊绿色通道的无缝衔接,建立起真正的急性心肌梗死患者绿色救治通道。让院前急救与院内救治无缝对接,缩短患者急救等待时间,提高抢救成功率。
据了解,我院胸痛中心“绿色通道”成立半个月以来,全体医护人员以高超的医术快速、有效地挽救了一个又一个生命。大大缩短了急性心肌梗死救治时间;持续优化医院心肌梗死救治流程;改善传统医疗救治模式,显著改善区域协同救治效率和水平,形成院前和院内紧密衔接的绿色通道,为实现院间快速转诊,院内绕行急诊直接至导管室提供技术保障。

当前位置:
