1月29日,我院心血管内三科负责人郑崔成带领介入团队,成功应用“Shockwave冲击波球囊技术”,完成我院首例严重狭窄冠心病变介入治疗手术。

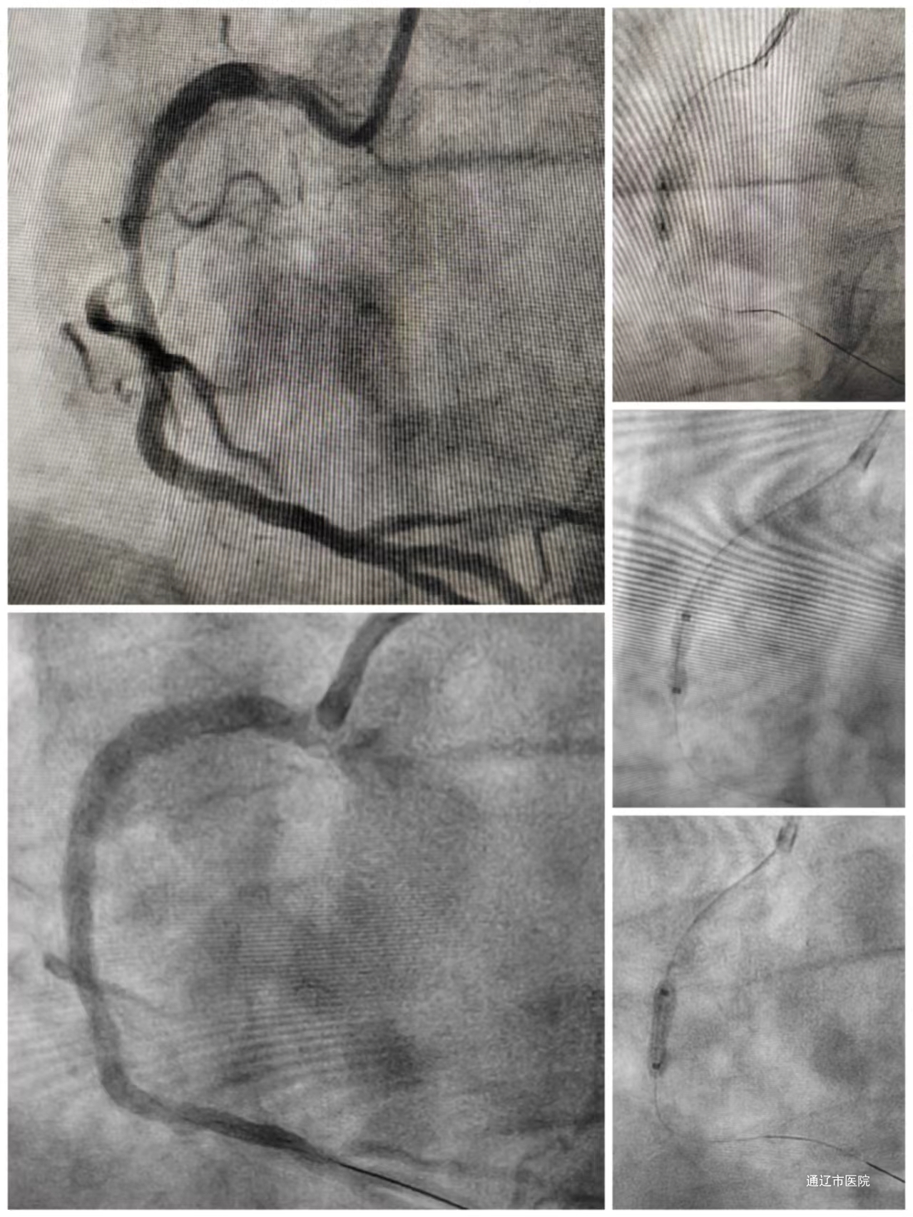
一名66岁男性患者,半个月前因频繁胸痛而被送入我院治疗。冠脉造影检查结果显示右冠状动脉支架内存在高达85%的严重狭窄,实施高压球囊导管扩张效果不佳。考虑到患者病情的特殊情况,心内三科的介入团队再次对病变进行全面评估,最终决定采用国际领先的技术——“Shockwave冲击波球囊”。术中进行了总计80次冲击波冲击,手术过程顺利,最终成功扩张了狭窄的冠状动脉病变。紧接着,通过对原支架应用药物球囊,实现无金属残留,患者术后的症状得到了显著改善,不再出现胸痛症状。

这项治疗采用的是经皮冠状动脉腔内冲击波球囊导管成形术,又称血管内碎石术(intravascular lithotripsy,IVL)。IVL在处理高度钙化的病变时表现出优越的修饰效果,同时显著减少了手术时间,为手术风险提供了更低的概率。值得一提的是,该技术于2018年在欧洲获批上市,在2021年获得美国食品药品监督管理局批准上市,而在2022年5月,已在中国获得批准,用于治疗冠状动脉钙化病变。
这一创新治疗方案的成功开展,不但填补了院内的技术空白,也标志着我院同步国际冠脉介入治疗的最新技术,达到国内先进水平。相信在“全新利器”助力下,我院将全面提高地区治疗严重冠脉病变的实力和水平,为更多冠心病患者带来福音,成为打开生命通道的救“心”人。

当前位置:
