近日,通辽市人民医院关节外科主任医师胡中申团队完成通辽市首例关节镜下前交叉韧带双束重建术,这是我院乃至通辽市首例使用前交叉韧带双束重建技术治疗前交叉韧带损伤及断裂,填补蒙东地区技术空白,推动运动损伤治疗迈向新高度。
51岁的患者王某因高处跌落致左膝关节前交叉韧带断裂,考虑到其日常劳作对膝关节功能要求高,胡中申团队在主任医师文振东、陈哲的密切配合下,经充分评估,决定采用“关节境下左膝前交叉韧带双束重建术”新技术。术中,团队借助关节镜等微创器械,精准定位前交叉韧带前内束、后外束的股骨与胫骨骨隧道,动态监测膝关节活动功能及范围,成功以仿生结构替代受损韧带。术后患者疼痛显著缓解,膝关节功能恢复良好,顺利出院。
相较于传统单束重建,双束重建技术更接近人体天然韧带结构,能为膝关节提供全方位稳定支撑,满足患者个性化、微创化手术需求。此次手术的成功完成,不仅是我院在微创手术医疗领域的一次突破,更是全市骨科医疗事业发展的里程碑。
我院骨科关节外科专科开设以来,目前已独立开展各种髋、膝关节初始置换,髋、膝关节翻修手术,肩关节、肘关节、踝关节置换手术,保膝、保髋手术,肩、肘、髋、膝、踝关节镜手术。未来,我院将继续引领本地区关节外科治疗技术,持续精进技术,让本地患者在家门口即可享受先进诊疗服务,全力为我市百姓健康保驾护航。
术前



(前交叉韧带损伤MRI图像)
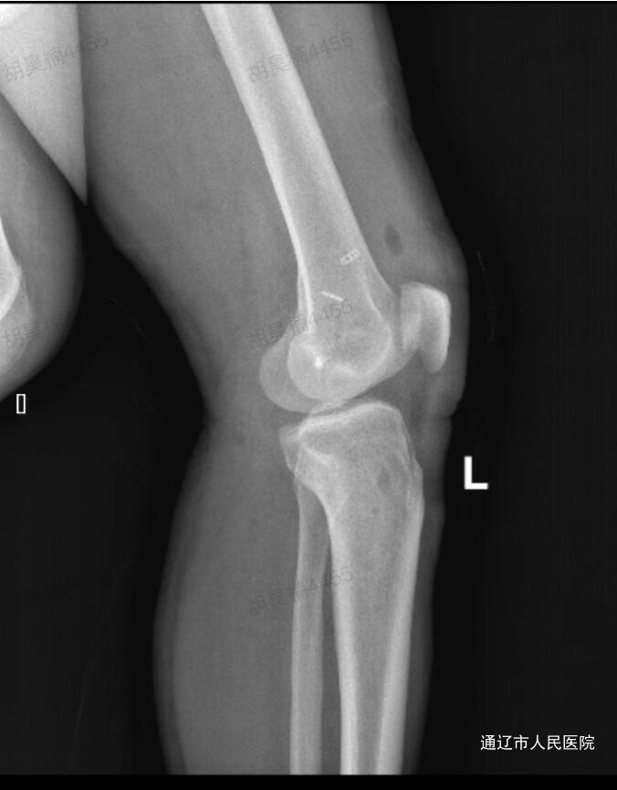
术后



【专家简介】



陈哲
关节外科主治医师,毕业于山西医科大学,医师规范化培训毕业于通辽市医院关节外科。擅长:骨关节炎、类风湿性关节炎、股骨头坏死、关节运动损伤疾病诊断、人工关节置换术(初次及翻修手术)、关节镜微创手术(半月板修复、韧带重建、肩袖修补等)。

当前位置:
