
近日,我院心内一科与神内三科完成一例心脑联合手术,患者术后恢复良好,目前已康复出院。此例手术的成功施行标志着我院在治疗心脑血管疾病方面又登上了一个新的台阶。
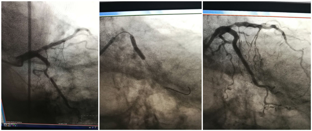
患者慕某,男性,72岁,冠心病心肌梗死支架植入术后5年,此次主因一过性晕厥一个月入我院心内一科治疗,经神内三科会诊,进行头颈部CTA检查提示右侧颈椎动脉闭塞、右侧锁骨下动脉重度狭窄,对颅内供血造成严重影响。为尽快解决患者病痛,在心内一科宝云龙主任、神内三科杨卫东主任的支持与指导下,两个科室联合会诊、认真讨论,决定于4月10日晚由神内三科徐鹏医生主刀为患者进行右侧锁骨下动脉支架植入术,随后由心内一科郑崔成医生施行冠状动脉造影确定患者心脏血管具体情况。两位主刀医生周密计划,详尽准备,手术顺利进行。不出所料,术中发现患者冠状动脉回旋支同样重度狭窄,随时有发生心梗的可能,郑崔成医生在与患者家属充分沟通后,随即进行冠脉支架植入术,开通濒临闭塞的血管。术后患者头晕、胸闷等症状消失,恢复良好,用患者家属的话说:“整个人都精神了”,家属对我院心内一科与神内三科团队一再表示感谢。
.jpg)
神内三科徐鹏医生表示在以往这类疾病的诊治过程中,患者需要在心内科及神内科两个科室分别做造影进行诊断及相应的介入治疗,至少经历2次手术、反复住院或转科,不仅会加重患者的痛苦,而且还将增加手术费用,延长住院时间。而同时期进行冠脉支架和颈部血管支架置入术,可减少患者重复手术的风险及痛苦,可同步解决脑血管病和心脏问题,真正做到心、脑血管疾病同治同康复!
.jpg)
心内一科郑崔成医生也说道:“动脉粥样硬化是心脑血管病共同的病理基础,是一个全身性疾病,只是由于累及部位不同、发病先后不一,才出现不同的临床症状。对这类患者其中一种疾病进行手术时,另一个经常成为术后严重并发症的导火索。因此在治疗上,‘心脑联合’才是最佳方案。”
我院心内一科与神内三科紧跟学术前沿,勇于创新,对心脑血管疾病一站式诊治做出不懈探索,在实践中不断前行。未来我院将继续深化不同学科的合作,共同为患者提供多方位、立体化的优质服务!

当前位置:
