患者孙X,女,29岁,因左足外伤后肿痛、畸形、活动受限3天来诊,入院时左足肿胀严重,水疱形成,入院诊断:Lisfranc损伤合并Chaopart关节脱位。患者入院后,张继锋主任组织科内讨论,因患者足部肿胀严重,水疱形成,决定待足部水疱消退,肿胀减轻,皮肤软组织条件改善后再手术,经过10天的治疗,皮肤软组织条件改善后,在无手术禁忌症条件下,由张继锋主任主刀,肖海祥副主任医师及白鹏主管医生的配合下,行左足Lisfranc损伤合并Chaopart关节脱位切开复位内固定手术治疗,手术顺利,术后左足畸形纠正,手术切口愈合良好,患者满意。
.jpg)
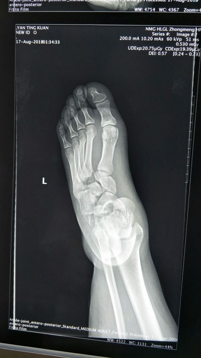
左足正位片:Chaopart关节脱位,内侧楔骨骨折,中间楔骨、外侧楔骨与骰骨之间关系紊乱,第一、二跖骨间距增宽,跖跗关节脱位。
.jpg)
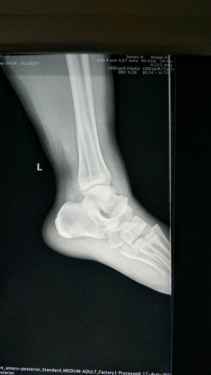
左踝关节侧位片:Chaopart关节脱位,跖跗关节脱位。
.jpg)
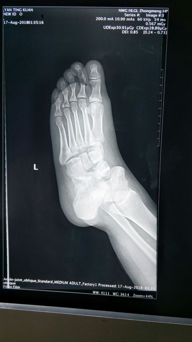
左足斜位片:Chaopart关节脱位,跖跗关节脱位。
.jpg)
左踝关节正位片:前足向外侧移位。
.jpg)
.jpg)
术前CT:Lisfranc关节损伤,跖跗关节脱位,内侧楔骨骨折,Chaopart(跗横关节)脱位,跟骨外侧壁骨折。
.jpg)
术后石膏外固定,足趾末梢血运良好。
.jpg)
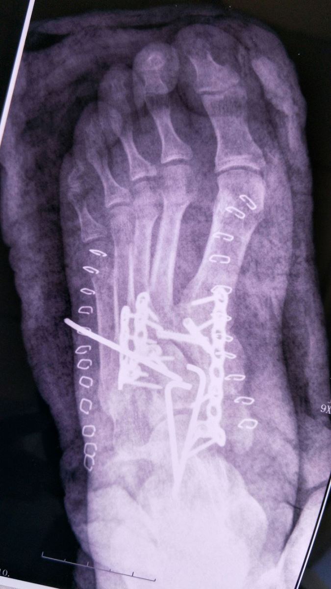
术后X光:Chaopart关节脱位纠正,固定良好,跖跗关节脱位纠正,固定良好。
.jpg)
.jpg)
.jpg)
术后一周,切口无渗出,皮肤无坏死,前足形态恢复正常。
.jpg)
术后第10天换药,手术切口血运良好,患足肿胀减轻,足趾外观良好,前足畸形纠正。
.jpg)
Lisfranc损伤:
指足跖骨与足跗骨间的骨折脱位,由法国人Lisfranc于1815年首先描述,为一种不常见的中足部损伤。跖跗关节,又称Lisfranc关节复合体,包括5个跖骨基底部与相应的中足部跗骨,其中第1-3跖骨基底部与相应的楔骨(内、中、外)关节,第4跖骨基底部与外侧楔骨及骰骨关节,第5跖骨基底部与骰骨关节,多条韧带共同加强该关节。Lisfranc韧带是一条强壮的韧带,连接于内侧楔骨与第2跖骨基底部之间,是固定第1、2跖骨基底间相对位置的唯一韧带(其余各跖骨基底间有韧带连接),也是最容易发生损伤的部位。
.jpg)
Lisfranc损伤分类:
Quenu 和 Kuss 于1909年 提出了一种简单的分类方法,根据跖骨的移位方向将损伤分为三类:同侧移位、单独移位和分离移位。现在被广泛接受和认可的是Hardcastle 于1982年提出的Hardcastle 分类系统,它以Quenu 和 Kuss 系统为基础,根据影像学表现,分为A 、B、C类骨折。A.第一~五跖骨均向外侧脱位(最常见);B.第一、二跖骨间分离;C.第一跖骨向内侧脱位,第二~五跖骨向外侧脱位。
Lisfranc损伤治疗与康复:
早期准确的诊断、及时的处理是治疗的关键,但在治疗 方法上观点不一。多数不主张保守的外固定。首先软组织损伤的评估很重要,一般需要抬高患肢、冷敷等手段减轻组织水肿,如果高度怀疑骨筋膜室综合征,应行筋 膜切开术。根据脱位方向及时准确地手法复位很关键,复位可以缓解皮肤等软组织被脱位骨骼的顶压,减轻软组织的进一步损伤与水肿,为进一步积极的手术治疗创 造条件。闭合复位有时会因为软组织嵌压,或严重的粉碎骨折而失败,这时就要考虑进行切开复位。国外学者描述了一种拇指翘起症(toe-up sign),是指在复位时发现第1跖骨向足背侧翘起,而不能复位的情况,对于判断胫前肌肌腱嵌压很有价值[7]。手术时机的选择,最好是伤后 12~24h,如果在上述时间内没有手术,由于软组织的水肿,手术一般要在伤后7~10d左右进行。在治疗上的区别无非是闭合复位或切开复位、固定材料采 用克氏针或螺钉。闭合复位克氏针固定,通常用于比较简单的Lisfranc损伤或外侧柱的固定,Hardcastle等处理A型骨折的方法是将第一根克氏 针在内侧由第1跖骨穿向内侧楔骨,第二根由第5跖骨穿向骰骨。闭合复位克氏针固定的优点是简单易行,手术时间短,对患足的软组织干预比较小,缺点是钉道感 染、固定不牢,复位丢失等情况时有发生;切开复位内固定是一种切实和最终的治疗方法,是治疗的趋势所在,越来越多的学者选择了这种方法。切口选择一般是足 背第1、2跖骨之间和第3、4跖骨之间的双切口,但要注意两个切口之间皮瓣的宽窄,并且避免损伤足背动脉。内侧柱和中间柱的固定一般选折螺钉固定,外侧柱 可以选折克氏针固定。一般可以选折AO 3.5mm或4.0mm螺钉进行固定,但3.5mm螺钉的断钉率较高,空心钉的折断率较高,通常不被使用。内植物的植入方向一般选择由第1、2跖骨干分别 向内侧楔骨和中间楔骨。钻孔时由于骨块之间存在微动,钻头容易折断,所以有时复位满意后,一般先用克氏针临时固定不稳定骨块,再行钻孔,比较安全。对于没 有骨折的单纯韧带损伤,可以考虑做关节Ⅰ期融合手术,手术范围包括内侧柱和中间柱,外侧柱可以只以克氏针固定。术中要注意关节软骨面的处理,有时需要植 骨。术后应用石膏或支具保护,在8~12周内避免负重,固定第4、5跖骨的克氏针可在6~8周时拆除,固定其它跖骨的内固定物一般要保留3~4个月。
目前Lisfranc损伤的治疗的金标准为解剖复位、稳定内固定。对非移位损伤(小于2mm)可以采用保守治疗。
.jpg)
.jpg)
Lisfranc损伤为足部跖跗关节骨折脱位,是一种广义的关节内损伤,如果误诊误治,将导致创伤性关节炎而严重影响足趾功能,重度Lisfranc损伤对创伤骨科医生仍然是巨大的挑战,近年来,微创技术的应用日益广泛,自2013年起,骨二科张继锋主任将微创手术技术应用于临床,使手术更精确、更安全、更有效,大大改善了人们对骨科疾病的认识,也收到了肯定的效果,张继锋主任将带领骨二科团队,砥砺前行,全心全意为广大骨科患者服务。

当前位置:
