近日,我院成功开展我市首例一体位经皮肾镜+输尿管软镜双镜联合下碎石取石术,手术由泌尿外科主任徐志强完成。


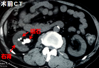
患者男性,61岁,主诉“发现左侧结石2月余”,既往有肾结石病史,近期复查发现右肾结石。入院腹部CT提示:右肾多发结石伴积水,右肾实质变薄,结石分别分布于肾盂、上组盏、肾中组(腹侧、背侧盏)、下组盏,盏颈狭窄,静脉肾盂造影显示右肾功能欠佳,为防止肾功能减退与病情进一步恶化,必须行手术治疗。

徐志强主任反复对患者进行查体,发现该患者结石多,直径大、位置复杂,盏颈狭窄,术中取石困难,术后结石残留率高。如采取传统单一的经皮肾镜手术方法需进行多次,且术中需要变换体位,势必会延长手术时间使手术风险加大。

结合此种情况,徐主任与患者沟通好治疗方案并经过充分的术前评估后决定采用一体式分腿斜卧截石位行经皮肾镜+输尿管软镜双镜联合同期处理该患肾结石。虽然术中结石所营造的困难重重,盏颈狭窄,但在徐志强主任与王正平主任“双镜同取”的协作之下,患者体内的结石一次性取出!术后复查无结石残留,目前患者已痊愈出院。
该微创术的复杂程度高,难度系数大,对行该手术的医生而言无疑是一项挑战。但因其创伤小、出血少,手术时间可灵活缩短且明显提高结石的清除率,对于复杂泌尿系结石患者而言是一剂福音。此项手术的成功开展,标志着我院泌尿外科行复杂肾结石术的技术水平已跟近国内肾结石微创治疗的步伐,并不断进取向前。
随着我院泌尿系统结石微创治疗技术水平的不断提升,未来必将为那些因泌尿结石而饱受痛苦的患者进行妥善治疗。

当前位置:
